Apocrine Hidrocystoma of the Upper Eyelid
Questions
1. What is an apocrine hidrocystoma?
2. How does an apocrine hidrocystoma present?
3. What are the histological features of an apocrinehidrocystoma?
4. What is the treatment and prognosis?
Case Description
A 67-year-old man with a past medical history significant for congestive heart failure with an ejection fraction of <15%, ischemic heart disease, hypertension, and gastric adenocarcinoma presented to the clinic with a new left eyelid lesion. The patient did not endorse any pain, epiphora, or visual field obstruction. He did notice the lesion in his peripheral view when looking nasally. On examination, the left eyelid lesion was located near the upper medial canthal margin, did not involve the lacrimal duct, and caused secondary eyelid ptosis to the pupillary margin. Additionally, the patient had lower eyelid senile ectropion with delayed lid snapback. The patient underwent complete excisional biopsy of the lesion under local anesthesia in the operating room and had no postoperative complications. Pathology received a brown-tan biopsy measuring 0.3 x 0.2 x 0.2 cm with a cystic cavity upon sectioning measuring 0.2 x 0.1 cm. The histological findings were consistent with apocrine hidrocystoma. The purpose of this case is to inform practitioners about a unique lesion so that they may be better equipped to diagnose and treat said lesions. The case report was deemed to be exempt from institutional board review.
Q1. What is apocrine hidrocystoma?
Apocrine hidrocystomas were first described by Mehregan1,2 in 1964 as a benign cystic tumor originating from apocrine sweat glands. It is not a simple cyst retention but rather develops as a cystic proliferation from the apocrine gland from which it stems. The etiology of this tumor remains disputed to date; however, it is thought to arise from dysregulation from the secretory cells of the apocrine glands resulting in a tumorous growth. The diagnosis of apocrine hidrocystoma can be suspected from clinical examination alone, but histopathological examination is necessary for a definitive diagnosis.2 Apocrine hidrocystomas typically present in patients between the ages of 30 and 70 years, and they have not been found to have any familial or sex-based predilection. Though it is rare, there are a few reports of childhood or adolescent presentations.
Q2. How does apocrine hidrocystoma present?
Because apocrine hidrocystomas are a result of tumorous growth from an apocrine sweat gland, they are most often found near hair follicles on the scalp, armpit, ear canal, eyelids, wings of the nostril, areola and nipples of the breast, perineal region, and external genitalia. The highest concentration of apocrine glands are found on the scalp and face, hence the propensity to find apocrine hidrocystomas in this region as well.3 Lesions are classically described as a firm, mobile, dome-shaped cystic nodule, with color variation ranging across translucent blue, bluish-black, gray, and purple.4 The typical lesion size is approximated to be between 3 and 15 mm.5 This patient’s lesion was within the expected size range and presented as a translucent brown cystic nodule. Clinically, apocrine hidrocystomas often present similarly to eccrine hidrocystomas, epidermal inclusion cysts, mucoid cysts, hemangiomas, lymphangiomas, amelanotic melanoma, and basal cell carcinoma. The risk of misdiagnosis can lead to an untreated malignancy; hence, it is crucial to excise and perform histological examination for diagnostic and therapeutic purposes.
Q3. What are the histopathologic features?
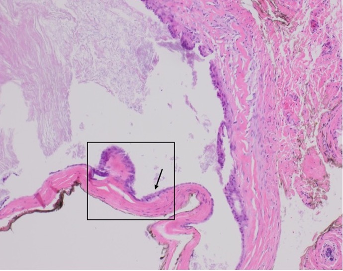
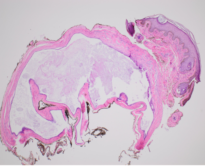
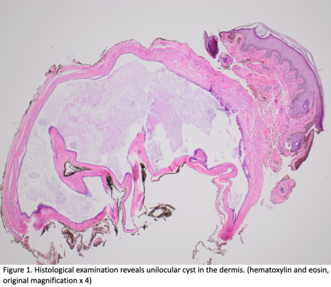
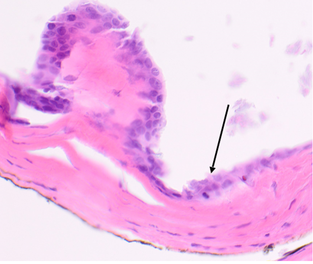
On histological examination, apocrine hidrocystomas can present as unilocular or multilocular cysts. Apocrine hidrocystoma lining is composed of 2 layers. The inner cyst layer is composed of secretory cuboidal or columnar epithelium.6 When not attenuated, secretory cells can demonstrate so-called apical “apocrine snouts.” The inner layer of the cyst is composed of smaller and darker myoepithelial cells.7 When lipofuscin granules are present, periodic acid-Schiff –positive granules can also be seen in the histology.1 This patient’s lesion had a similar histological appearance displaying a unilocular cyst in the dermis, lined by a double layer of attenuated cuboidal epithelium. Apocrine snouts on the outer epithelial layer were also visible histologically in the patient’s lesion. No epithelial proliferation of atypia was observed, which is consistent with the benign nature of apocrine hidrocystomas.
Q4. What is the treatment and prognosis?
The most common treatment for apocrine hidrocystoma is surgical excision with narrow margins.1 After excision of apocrine hidrocystoma, the prognosis is excellent due to the benign nature of the lesion. Alternate treatments such as needle puncture and cyst puncture have been explored. Needle puncture has been found to have an increased risk of recurrence of the lesion.4 Cyst puncture followed by hypertonic glucose sclerotherapy has been found to successfully treat the lesion.8 Trichloroacetic acid injection after cyst puncture and botulinum toxin A have both been used as effective alternative treatments.9
Summary
The patient in this study presented with an eyelid lesion consistent with apocrine hydrocystoma on pathology. These lesions are most commonly found on the scalp and face and consist of mobile, cystic nodules.3-4 Surgical excision is diagnostic and curative and necessary to prevent untreated malignancy.1 The patient in this study has not had a recurrence.
Acknowledgments
Affiliations: 1Memphis Veterans Administration Medical Center (VAMC), Memphis, TN; 2University of Tennessee Health Science Center (UTHSC), Memphis, TN; 3University of Mississippi Medical Center (UMMC), Jackson, MS
Correspondence: Fabliha A Mukit, MD; fanbar@uthsc.edu
Disclosures: The authors have no relevant financial or nonfinancial interests to disclose.
References
1. Hafsi W, Badri T, Shah F. Apocrine hidrocystoma. In: StatPearls [Internet]. Treasure Island: StatPearls Publishing. Updated September 9, 2021. https://www.ncbi.nlm.nih.gov/books/NBK448109/
2. Mehregan AH. Apocrine cystadenoma; a clinicopathologic study with special reference to the pigmented variety. Arch Dermatol. 1964;90:274-279. doi:10.1001/archderm.1964.01600030024005
3. Magdaleno-Tapial J, Valenzuela-Oñate C, Martínez-Doménech Á, et al. Apocrine hidrocystoma on the nipple: the first report in this unusual location. Dermatol Online J. 2019;25(10):13030/qt89n4f0sf. Published 2019 Oct 15.
4. Nam JH, Lee GY, Kim WS, Kim KJ. Eccrine hidrocystoma in a child: an atypical presentation. Ann Dermatol. 2010;22(1):69-72. doi:10.5021/ad.2010.22.1.69
5. Birkenbeuel J, Goshtasbi K, Mahboubi H, Djalilian HR. Recurrent apocrine hidrocystoma of the external auditory canal. Am J Otolaryngol. 2019;40(2):312-313. doi:10.1016/j.amjoto.2019.01.011
6. Sarabi K, Khachemoune A. Hidrocystomas--a brief review. MedGenMed. 2006;8(3):57. Published 2006 Sep 6.
7. Chen Y, James C, Leibovitch I, Selva D. Primary orbital apocrine hidrocystoma with sebaceous elements. Clin Exp Ophthalmol. 2018;46(5):560-562. doi:10.1111/ceo.13122
8. Osaki TH, Osaki MH, Osaki T, Viana GA. A Minimally Invasive Approach for Apocrine Hidrocystomas of the Eyelid. Dermatol Surg. 2016;42(1):134-136. doi:10.1097/DSS.0000000000000567
9. Anandasabapathy N, Soldano AC. Multiple apocrine hidrocystomas. Dermatol Online J. 2008;14(5):12. Published 2008 May 15.


