How To Detect And Treat Running Injuries
Many runners will consult a podiatrist for their initial physician visit for lower extremity injuries. Diagnosing and treating the most common running injuries requires finding the cause of the injury and going beyond simply treating the symptoms. Injured runners will often show up in the office with a bag full of old running shoes, a training log and a self-diagnosis. In my practice, runners tend to be the most well-informed patients and simply advising these patients to refrain from running could lead to them seeing another doctor. When seeing a runner for the first time in the office, one must gain the athlete’s trust by demonstrating a knowledge of training principles and running shoes, and have the patience to listen to the patient describe his or her injury and training history. Any changes in training, running shoe model or overuse prior to the injury may provide an important clue to making the proper diagnosis and determining the cause of the injury. One should also perform a static biomechanical examination as well as a gait examination with and without shoes. It is helpful to have staff advise runners to bring their running shoes and shorts to the initial visit so one can properly visualize the entire lower extremity during the exam. Plantar heel pain is one of the most common complaints in any podiatry practice. Due to the frequency with which plantar fasciitis is diagnosed, physicians sometimes fall into the trap of predetermining this diagnosis before considering all the facts. The patient history is of utmost importance when it comes to narrowing one’s differential diagnoses. If the runner has seen other physicians, had prior treatments (including injections, physical therapy and orthotic devices) and has seen little improvement, plantar fasciitis should not be one’s only focus. Also keep in mind that patients can get plantar fasciitis even if they have orthoses.
Pertinent Pointers On Diagnosing Plantar Fasciitis
Classic plantar fasciitis presents with increased symptoms with the first steps in the morning and more pain at the start of a run that can subside with activity. These patients will typically experience worse pain later in the day or the next morning after running. These patients will usually have focal pain at the plantar medial or middle aspect of the calcaneus. Differential diagnosis should include tarsal tunnel syndrome, neuritis of the first branch of the lateral plantar nerve, flexor hallucis longus tendonitis and calcaneal stress fracture. If the pain is getting worse during activity and the patient’s first steps are no longer the most painful time of the condition, then plantar fasciitis may no longer be the primary diagnosis. Applying a plantar (arch) strapping may be helpful in clarifying the diagnosis. Plantar fasciitis almost always feels better when the arch is taped and supported. One can instruct the patients to tape themselves. Patients may also continue running during treatment as long as symptoms improve during this period. If the taping is beneficial, this may guide future treatment and possibly indicate that a custom orthotic device should have a higher degree of success.
Essential Tips For Treating Plantar Fasciitis And Preventing Recurrences
Stretching of the gastrocnemius-soleus complex remains the mainstay of treatment of heel pain. Encouraging patients to perform stretches three times a day during a three-week period should improve most cases of fasciitis. Ask patients to perform the stretches barefoot, hold the stretch for 30 seconds and repeat it five times for a total of 15 per day. Treatment must also include good supportive shoes that do not bend in the arch, icing, a night splint (I prefer the Strassburg Sock) and NSAIDs in the initial 10- to 14-day period. Rolling the heel over a frozen water bottle will provide a massage of the area that helps break up scar tissue in addition to the benefits of icing. If the patient’s symptoms persist after this intial treatment course, then one may institute a local corticosteroid injection, custom orthotic devices and physical therapy. Extracorporeal shockwave therapy (ESWT) may be indicated in recalcitrant cases that are confirmed to be plantar fasciitis.1 Once one has eliminated the patient’s symptoms, one should proceed to initiate strengthening of the intrinsic musculature in order to prevent future recurrences of plantar fasciitis. Instruct runners to begin strengthening by picking up a towel with their toes, balancing on one foot and then progress to barefoot strides. If grass fields are unavailable for barefoot running, a new shoe, the Nike Free 5.0, shows excellent promise as a training tool to strengthen the intrinsic muscles. Nike’s research shows that the shoe allows the foot to function similar to being barefoot. When it comes to chronic cases of plantar fasciitis, keep in mind that having a runner wear a custom orthotic device and/or a motion control running shoe is akin to placing the foot in a cast, and atrophy of the intrinsic musculature is inevitable.
Are Nerve Injuries The Cause Of Increased Pain During A Run?
FHL tendonitis, neuritis of the first branch of the LPN, tear of the plantar fascia, stress fracture or tarsal tunnel compression are all possible causes of increased pain during a run. Pain with palpation distal to the calcaneal tubercle may point to FHL tendonitis; medial pain on the calcaneus may point to calcaneal neuritis; and pain over the porta pedis and a positive Tinel’s sign (paresthesias to the medial arch) point toward tarsal tunnel syndrome. One may add a calcaneal stress fracture to the differential diagnosis if there is pain with compression of the calcaneus. Initial treatment of nerve and tendon injuries is similar to that of plantar fasciitis. Performing a local anesthetic injection over the nerve may help to confirm the diagnosis. I typically will add dexamethasone phosphate to make the injection more therapeutic. Obtaining a MRI may be useful to rule out a tear of the fascia or a stress fracture. Be aware that a plantar fascia tear or rupture can occur acutely.2 Usually, these patients report they felt a “pop” under their arch and have pain with passive toe extension along with plantar arch swelling and bruising. Surgical intervention should be an absolute last resort in all cases. Decompression of the nerve does not cause the instability that release of the fascia produces so one may opt for nerve decompression with less trepidation.3,4
How To Handle Achilles Tendon Injuries
When patients have pain and swelling of the Achilles tendon, I do forbid runners from training. The injury may be due to inflammation of the paratenon (paratendinosis) or may result from degeneration of the tendon itself (tendinosis). The term tendonitis is a misnomer in chronic cases as the injury is a degeneration of the tendon and not true inflammation. Paratendinosis is accompanied by diffuse swelling and crepitation with range of motion. Tendinosis may be accompanied by a nodule and has more focal swelling. Amol Saxena, DPM, of the Palo Alto Sports Medicine Foundation, notes that pain and swelling in a tendon are never normal.5 Dr. Saxena recommends an icing and stretching combination in a bucket. He suggests filling a bucket with water (so it bathes the entire Achilles region) and ice cubes, and stretching five to 10 minutes twice a day. In terms of treatment, one should first seek to reduce the symptoms. Physical therapy modalities and deep tissue massage are very helpful in reducing the pain and edema. Traditional treatment of Achilles tendinopathy has centered on stretching, heel lifts and orthotic devices. NSAIDs are not going to have much of an impact beyond the first two weeks since the tendon is not inflamed after the initial injury but rather undergoes a degeneration, as has been proven in several histologic studies. Given that tendon degeneration may be the root cause of Achilles problems, it makes sense that strengthening of the tendon produces the best rehabilitation results. Stanish recommended the use of eccentric exercises for tendonopathy in 1986.6 In a prospective study, Alfredson noted that all 15 athletes on a progressive eccentric loading program returned to activity within 12 weeks.7 In a supervised program, the athlete should lower the heels below the level of a step progressing from having equal weight on both feet to having the majority of the weight load on the injured leg. In cases that are not responsive to conservative treatment, obtaining a MRI is very useful to determine if there is a central core lesion or if one needs to excise the paratenon. Athletes may return to activity in less than one month following paratenolysis only.
What You Should Know About Diagnosing Medial Tibial Stress Syndrome
“Shin splints” are a very common complaint for both the novice and experienced runner. There are a number of differential diagnoses that fall under this term but most commonly the athlete is experiencing medial tibial stress syndrome (MTSS). There are often intrinsic and extrinsic factors causing this injury including: gastrocnemius-soleus tightness, deep posterior muscle group weakness, tibial varum, improper biomechanics, training on hard surfaces, training errors and worn-out running shoes. These patients will typically exhibit more pain at the start of a run. While it will subside during the run, the patient will then have more pain after stopping. MTSS pain occurs along the lower third of the posterior medial surface of the tibial, which coincides with the origin of the posterior tibial muscle and the soleus muscle.8 Yates and Bennett both found that a pronated foot type was statistically significant for predicting MTSS to occur in naval recruits and high school runners respectively.9,10 In chronic cases of MTSS, one will note pain with palpation along a diffuse portion of the medial tibia and palpable scar tissue. When patients have pain that increases during runs, pain that is more pinpoint with palpation or pain that does not resolve with rest and treatment, one should obtain a bone scan or MRI to check for a possible stress fracture. If a patient experiences an increase in pain to the point where he or she cannot complete the run, and has nerve symptoms or foot slapping, clinicians should investigate for chronic compartment syndrome.11-13
Key Insights For Treating MTSS
There are different phases to the treatment of MTSS. The first phase is aimed at reducing pain and inflammation. Relative rest is required during this phase but one can allow cross training as long as it does not increase any of the symptoms. Biking, swimming, the elliptical trainer and pool running are all excellent ways to maintain aerobic fitness. One should utilize physical therapy modalities, deep tissue massage, stretching, ice massage with frozen paper cups and the Aircast long leg brace during this phase. The next phase involves the introduction of strength and proprioception training as tolerated while the patient maintains many of the tasks he or she initiated in phase one. Once the patient is pain-free and can perform isometric and isotonic strengthening exercises with no pain, he or she can then start the final phase, which involves eccentric and plyometric exercises aimed at strengthening the muscles in the way that they will be used during running. Jumping on a mini-trampoline and jumping rope are two excellent plyometric type exercises which will help to strengthen the posterior muscle groups that become weakened during MTSS. A well-constructed orthotic device will often be another part of the treatment plan. A varus EVA forefoot post extending to the sulcus in a pronated foot type often helps to reduce the symptoms of MTSS. One may also consider an external rearfoot post with a Kirby skive or Blake inverted technique as possible modifications to the devices. The orthotic to shoe interface is equally important and the runner should be in a stable running shoe. A stability-type running shoe with a dual density midsole will work well unless the runner is a larger person (men over 200 lbs. and women over 150 lbs.) or has severe overpronation. In these cases, one may consider a motion control shoe. Keep in mind that these patients should perform daily barefoot exercises to maintain strength and function of the intrinsic musculature after they start using orthotic devices. One exercise I often advise my patients to perform is to balance on each foot for one minute every time they brush their teeth. When their proprioception improves, they can do this with their eyes closed to make it more challenging. Patients can start running every other day. They should start initially on softer surfaces with no more than a 10 percent increase in mileage per week until they reach pre-injury training levels.
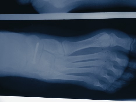
How To Recognize Stress Fractures
Stress fractures are one of the more common lower extremity injuries in runners. The most common sites include the metatarsals and the tibia. The best indicator that a stress fracture may have occurred is increasing pain as the workout progresses. A focal spot of pain, pain with loading, pain with percussion over the area and localized edema are excellent clinical indicators of a possible fracture. One diagnostic test that works well is having the patient hop on the injured side. This produces sharp, pinpoint pain. One may also use the hop test to determine if the bone is healed enough for the patient to return to activity. In the early stages, radiographic findings are usually insignificant so one must follow negative X-rays with further testing. The triple phase bone scan (TPBS) remains the most sensitive indicator of a stress fracture. Many physicians favor MRI but there are more false positives with a MRI than the TPBS. When patients have stress fractures of the tarsal bones, particularly the navicular, one should obtain a CT scan in the coronal and axial plane with 1.5 mm cuts in order to ascertain the extent of the fracture and help guide treatment. While stress fractures often occur after over-training, multiple stress fractures in an experienced runner require much further investigation. Females require special attention due to the possibility of the female athlete triad of amenorrhea, anorexia and osteoporosis. If one suspects this triad, the clinician should refer the patient for nutritional and psychological consultation. Keep in mind that there will be a significantly high rate of denial in an athlete with this syndrome. Pay special attention to the biomechanical examination when patients present with recurrent injuries and inquire about changes in training including possible increases in mileage or the intensity of the workouts. In the colder climates, indoor track and, in the high school population, running in the school hallways, are big contributors to running injuries and increased stress fractures.14,15
Pertinent Pearls For Treating Stress Fractures
Conservative treatment of most stress fractures includes no running and only non-weightbearing cross training. Several stress fractures require casting and/or non-weightbearing including the base of the fifth metatarsal, femur, navicular and cuboid. Matheson’s 1987 analysis of 320 bone scans positive for stress fractures found the tarsal bones to be the second most common site, accounting for 25 percent of the positive bone scans.16 Navicular stress fractures in particular have been found to occur in runners at a surprisingly high rate. This bears mention as diagnosis and treatment of navicular stress fractures requires a high index of suspicion and eight to 10 weeks of immobilization including non-weightbearing. When conservative treatment fails to heal a navicular stress fracture, one should proceed to open reduction internal fixation (ORIF). Two articles show a faster return to activity following surgical management of navicular fractures than conservative treatment.17,18 Bone stimulation is an additional modality that may help get an injured athlete back faster from a stress fracture. There is very little published to support using a bone stimulator but a study by Saxena in Foot and Ankle Quarterly showed that using a pulsed electromagnetic field (PEMF) allowed athletes to return much quicker from their stress fractures.19 The paper presented a small, prospective, unblended analysis of 73 stress fractures that were confirmed via bone scan, MRI or CT scan. The PEMF group returned to activity in 8.8 weeks versus the non-PEMF group, which returned to activity in 17.6 weeks. Further scientific studies are warranted but even a few weeks of added training can mean a great difference to a professional runner or a college or high-school runner with a limited amount of eligibility to compete.
A Closer Look At Iliotibial Band Syndrome
Iliotibial band syndrome (ITBS) can be a debilitating injury to a runner. The IT band (ITB), as it is more commonly known, can become so painful that a runner is unable to train at all. The classic symptoms of ITBS are pain along the lateral aspect of the knee joint that is sometimes accompanied by a clicking sensation. The click is a result of the ITB tightening up and snapping across the joint during running. Often, the symptoms are worse when athletes are running up or down hills. ITBS is typically progressive, starting out with tightness and often progressing to the point where the pain is debilitating. The traditional viewpoint of the cause of this injury has focused on the tightness of the structure and overtraining. There is no doubt that the ITB will become tighter when it is injured. However, the tightness is more than likely a result of the injury and not the actual cause. The cause of this injury lies in the function of the ITB. The main functions of the ITB are to assist the hip muscles in abduction of the thigh and to stabilize the lateral side of the knee. Runners are notoriously weak in their hip and core muscles, particularly if they lack strength training or do not participate in sports that involve side-to-side movement.20 Michael Fredericson, MD, a physical medicine physician at Stanford University, compared 24 runners with ITB syndrome to 30 healthy runners and found the injured runners to have statistically significantly weaker hip abductors than the non-injured runners.20 If these muscles are not functioning properly, then the ITB will be asked to perform more work and this structure will then get tighter and eventually become inflamed. There are phases to the current treatment for ITBS. The first phase requires a proper diagnosis and identifying any causative factors. Once this is established, one should proceed to reduce the pain. Rest may have to play a part during this phase and also may include emphasizing physical therapy modalities, ice and stretching three times a day. One may also initiate deep tissue massage during this phase. Dr. Fredericson refers to this as mobilization of the tissues, which is a necessary step before moving on to the all-important next phase of strengthening the hip and thigh muscles.20 If the patient cannot afford the expense or time of going to a certified massage therapist (CMT), then a foam roller can work very well for self massage. In Dr. Fredericson’s study, the injured runners were enrolled in a six-week standardized rehabilitation protocol with special attention directed to strengthening the gluteus medius.20 After rehabilitation, the females demonstrated an average increase in hip abductor torque of 34.9 percent in the injured limb while the males had an average increase of 51.4 percent. After six weeks of rehabilitation, 22 of 24 athletes were pain-free with all exercises and able to return to running. At the six-month follow-up, the author noted there were no reports of recurrence. Orthotic devices have been another traditional treatment that I am not too quick to prescribe for my patients. In some cases, after the patient has performed physical therapy, stretching and strengthening, one may consider using an orthotic device. Patients may benefit more from a cushioned type of orthosis as opposed to a rigid, motion-controlling device. Doug Richie Jr., DPM, the President of the American Academy of Podiatric Sports Medicine, has never been able to establish a clear-cut relationship between any foot types and the propensity to develop ITBS. However, he says he has almost never seen this injury in runners with flexible flat feet that overpronate. He feels that most of the time when he treats runners with this injury, he would classify their feet as nearly normal or with a slightly higher arch.
Final Notes
The goal of treatment for all athletes is to return them back to their sport as quickly and safely as possible. Keep in mind that most runners are used to running every day and they will be upset if they do not get their daily dose of endorphins. Emphasizing proper communication and maintaining similar outcome expectations will keep your patients on an even keel during a difficult time. Dr. Fullem is a Fellow of the American College of Foot and Ankle Surgeons, and the American Academy of Podiatric Sports Medicine. He is board-certified in foot and ankle surgery by the American Board of Podiatric Surgery. Dr. Fullem is also certified in foot orthopedics by the American Board of Podiatric Orthopedics and Primary Podiatric Medicine.
References:
1. Rompe JD, Decking J, Schoellner C, Nafe B. Shock wave application for chronic plantar fasciitis in running athletes. A prospective, randomized, placebo-controlled trial. Foot Ankle Int. 2003 Jul;24(7):545-50.
2. Saxena A, Fullem B. Plantar fascia ruptures in athletes. Am J Sports Med. 2004 Apr-May;32(3):662-5.
3. Baxter DE, Pfeffer GB. Treatment of chronic heel pain by surgical release of the first branch of the lateral plantar nerve. Clin Orthop. 1992 Jun;(279):229-36.
4. Gondring WH, Shields B, Wenger S. An outcomes analysis of surgical treatment of tarsal tunnel syndrome. Foot Ankle Int. 2003 Jul;24(7):545-50.
5. Kader D, Saxena A, Movin T, Maffulli N. Achilles tendinopathy: some aspects of basic science and clinical management. Br J Sports Med. 2002 Aug;36(4):239-49.
6. Stanish WD, Rubinovich RM, Curwin S. Eccentric exercise in chronic tendinitis. Clin Orthop. 1986 Jul;(208):65-8.
7. Alfredson H, Pietila T, Jonsson P, Lorentzon R. Heavy-load eccentric calf muscle training for the treatment of chronic Achilles tendinosis. Am J Sports Med. 1998 May-Jun;26(3):360-6.
8. Saxena A, O’Brien T, Bunce D. Anatomic dissection of the tibialis posterior muscle and its correlation to medial tibial stress syndrome. J Foot Surg. 1990 Mar-Apr;29(2):105-8.
9. Yates B, White S. The incidence and risk factors in the development of medial tibial stress syndrome among naval recruits. Am J Sports Med. 2004 Apr-May;32(3):772-80.
10. Bennett JE, Reinking MF, Pluemer B, Pentel A, Seaton M, Killian C. Factors contributing to the development of medical tibial stress syndrome in high school runners. J Orthop Sports Phys Ther. 2001 Sep;31(9):504-10.
11. Bouche RT. Chronic compartment syndrome of the leg. J Am Podiatr Med Assoc. 1990 Dec;80(12):633-48.
12. Hester JT. Diagnostic approach to chronic exercise-induced leg pain. A review. Clin Podiatr Med Surg. 2001 Apr;18(2):285-306.
13. Howard JL, Mohtadi NG, Wiley JP. Evaluation of outcomes in patients following surgical treatment of chronic exertional compartment syndrome in the leg. Clin J Sport Med. 2000 Jul;10(3):176-84.
14. Iwamoto J, Takeda T. Stress fractures in athletes: review of 196 cases. J Orthop Sci. 2003;8(3):273-8.
15. Bennell KL, Malcolm SA, Thomas SA, Reid SJ, Brukner PD, Ebeling PR, Wark JD. Risk factors for stress fractures in track and field athletes. A twelve-month prospective study. Am J Sports Med. 1996 Nov-Dec;24(6):810-8.
16. Matheson GO, Clement DB, McKenzie DC, Taunton JE, Lloyd-Smith DR, MacIntyre JG. Stress fractures in athletes. A study of 320 cases. Am J Sports Med. 1987 Jan-Feb;15(1):46-58.
17. Saxena A, Fullem B, Hannaford D. Results of treatment of 22 navicular stress fractures and a new proposed radiographic classification system. J Foot Ankle Surg. 2000 Mar-Apr;39(2):96-103.
18. Khan KM, Fuller PJ, Brukner PD, Kearney C, Burry HC. Outcome of conservative and surgical management of navicular stress fracture in athletes. Eighty-six cases proven with computerized tomography. Am J Sports Med. 1992 Nov-Dec;20(6):657-66.
19. Saxena A. Treatment of lower extremity Stress Fractures with Pulsed Electromagnetic Fields (PEMF): A case-control study and comparison to the literature. Foot and Ankle Quarterly 2000 Summer 13(2):43-50.
20. Fredericson M, Cookingham CL, Chaudhari AM, Dowdell BC, Oestreicher N, Sahrmann SA. Hip abductor weakness in distance runners with iliotibial band syndrome. Clin J Sport Med. 2000 Jul;10(3):169-75.
Additional References
21. Lemont H, Ammirati KM, Usen N. Plantar fasciitis: a degenerative process (fasciosis) without inflammation. JAPMA. 2003 May-Jun;93(3):234-7.
22. Saxena A. Results of chronic Achilles tendinopathy surgery on elite and nonelite track athletes. Foot Ankle Int. 2003 Sep;24(9):712-20.
23. Fitch KD, Blackwell JB, Gilmour WN. Operation for non-union of stress fracture of the tarsal navicular. J Bone Joint Surg Br. 1989 Jan;71(1):105-10.
24. Brukner P, Bradshaw C, Khan KM, White S, Crossley K. Stress fractures: a review of 180 cases. Clin J Sport Med. 1996 Apr;6(2):85-9.


