Giant Basal Cell Carcinoma in the Inguinal Region Invading the Femoral Vessels
Questions
- How often does BCC occur on the trunk?
- What is the frequency of giant BCCs?
- What is the response rate to radiation therapy and chemotherapy for BCC?
- What are the reconstruction options for defects after removal of tumors in the groin and lower abdominal wall?
Case Description
A 61-year-old woman with a history of hypothyroidism and dyslipidemia noticed a mass in her left inguinal region about 20 years ago, with gradual ulceration and expansion. On experiencing pain 3 years ago, a biopsy was performed, and she was diagnosed with basal cell carcinoma (BCC). On being determined non-resectable, radiation therapy (50 Gy/25 sessions) was administered with poor outcomes. Additionally, chemotherapy was administered (cisplatin-adriamycin combination chemotherapy), which reduced the tumor elevation but not the area of the lesion.
Subsequently, the patient was admitted to our hospital for radical resection. Physical examination revealed a 17 × 6-cm irregular ulcer in the left inguinal region (Figure 1A).
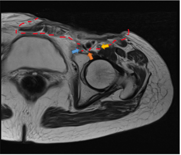
Histopathological examination revealed inflammatory granules formation with crusting on the surface. Tumor cells with chromatin-rich oval nuclei and a high nuclear-cytoplasmic ratio (N/C ratio) were observed to infiltrate and proliferate, forming irregular foci. The interstitium showed vitreous fibrosis. BCC was diagnosed (Figure 1B). Magnetic resonance imaging (MRI) revealed extensive soft tissue shadow in the left inguinal region, suggesting tumor invasion into the left femoral artery and vein. No enlarged lymph nodes were detected (Figure 2).
The patient underwent left subclavian artery–to–superficial femoral artery bypass surgery (using 6-mm heparin-bonded ePTFE graft: PROPATEN, W.L. Gore, USA) 3 weeks prior to tumor resection. Postoperative computed tomography (CT) revealed patent bypass graft (Figure 3).
Tumor resection and reconstruction were performed on a later date under general anesthesia. The BCC was resected under the fascia with a 1-cm surgical margin (Figure 4A). The femoral artery and vein immediately below the tumor were excised (Figure 4B). A vertical rectus abdominis myocutaneous (VRAM) flap was used for reconstruction (Figure 4C). The patient showed no recurrence or metastasis and ambulated independently 2 years post-surgery (Figure 5).
Q1. How often does BCC occur on the trunk?
BCCs are the most common type of skin cancer, with approximately 80% of cases occurring on the head and neck and 10% on the trunk.1 BCC in the groin area is uncommon, with only 0.094% BCC cases found in the groin or buttocks.2
Q2. What is the frequency of giant BCCs?
The American Joint Committee on Cancer describes giant BCC as a BCC greater than 5 cm in diameter. Less than 1% of all BCCs reach this size.3 Particularly, cases of vascular invasion are very rare.4 BCCs grow on average about 1.0 mm per year.5 When BCC increases in size, it can invade the deeper tissues beneath the skin. However, this is low frequency. The invasion of blood vessels and nerves in the case of a giant BCC (17 × 6 cm) described herein is a rare presentation.
Q3. What is the response rate to radiation therapy and chemotherapy for BCC?
The principal treatment for BCC is surgical resection. However, in cases where patients are unable to undergo surgery, radiation therapy or chemotherapy may be administered. It has been reported that with radiation therapy, the 5-year control rate of a BCC less than 5 cm was more than 90%.6 As for chemotherapy, the cisplatin-adriamycin combination chemotherapy has been reported to cause complete remission in 25% of patients, partial remission in 50% of patients, with a response rate of 75%.7 However, in our patient radiation therapy did not have a significant effect on tumor size.
Q4. What are the reconstruction options for defects after removal of tumors in the groin and lower abdominal wall?
Skin grafts and free flaps such as the latissimus dorsi myocutaneous (LDM) flap, the anterolateral thigh (ALT) flap, and the tensor fascia lata (TFL) flap are the standard surgical techniques used to reconstruct the defects after tumor resection in the groin and lower abdominal wall.8 A case report describes the use of pedicled deep inferior epigastric artery perforator (DIEP) flaps for the treatment of inguinal defect after tumor resection.9 Skin grafts can be used for large defects; however, the volume is inadequate. Free flaps can be utilized effortlessly as they offer no movement restrictions. Blood flow through the flap is stable unless a complication, such as thrombosis, occurs. Free flaps can be selected if the recipient vessel can be identified. If the vessel is fragile, there is a high risk of occlusion of the anastomotic vessels. Pedicled flaps are prone to stress without careful movement, with the risk of partial necrosis. In this case, we did not choose a skin graft because of the post-irradiation condition. The LDM flap requires postural changes during surgery and cannot be performed in the same surgical position. ALT and TFL flaps could not be sutured at the donor site and may require skin grafting. The patient received radiation therapy around the femoral artery and was scheduled for surgery on the great vessels. Therefore, free flaps were not chosen as it was would be difficult to secure a suitable vessel nearby. The rectus abdominis muscle (RAM) flap was chosen instead of the DIEP flap because sufficient muscle coverage was needed. The VRAM flap was considered appropriate because the transverse rectus abdominis muscle (TRAM) flap overlapped the tumor area. Therefore, we considered a pedicled VRAM flap to be the best choice in this case.
Summary
We report a case of a giant BCC in the inguinal region with invasion of the femoral artery and vein. After arterial revascularization, the patient underwent resection of the BCC and reconstruction with a pedicled VRAM flap. This is an extremely rare case of BCC. To the best of our knowledge, there have been no other cases of pedicled VRAM flaps used after BCC resection.
Acknowledgments
Affiliations: 1Department of Plastic and Reconstructive Surgery, Kansai Medical University Medical Center, Osaka, Japan; 2Department of Vascular Surgery, Kansai Medical University Medical Center, Osaka, Japan
Correspondence: Natsuko Kakudo; kakudon@hirakata.kmu.ac.jp
Disclosures: The authors disclose no financial or other conflicts of interest.
References
1. Archontaki M, Stavrianos SD, Korkolis DP, et al. Giant Basal cell carcinoma: clinicopathological analysis of 51 cases and review of the literature. Anticancer Res. 2009;29(7):2655-63.
2. Tidwell WJ, Sutton A, Gilbertson R, Humberson C, Greenway H. Basal cell carcinoma of the groin and buttocks: a clinical and histological analysis of a rare presentation of a common tumor. Int J Dermatol. 2019;58(8):972-975. doi:10.1111/ijd.14477
3. Kikuchi M, Yano K, Kubo T, Hosokawa K, Yamaguchi Y, Itami S. Giant basal cell carcinoma affecting the lower abdominal, genital and bilateral inguinal regions. Br J Plast Surg. 2002;55(5):445-8.
4. Beckenstein MS, Windle BH. Basal cell carcinoma in the groin of a black patient with femoral vessel invasion and a second primary malignancy. Plast Reconstr Surg. 1996;98(5):872-875. doi:10.1097/00006534-199610000-00022
5. Ono T, Kitoh M, Kuriya N. Characterization of basal cell epithelioma in the Japanese. J Dermatol. 1982;9(4):291–300.
6. Berking C, Hauschild A, Kölbl O, Mast G, Gutzmer R. Basal cell carcinoma-treatments for the commonest skin cancer. Dtsch Arztebl Int. 2014;111(22):389-395. doi:10.3238/arztebl.2014.0389
7. Guthrie TH Jr, Porubsky ES, Luxenberg MN, Shah KJ, Wurtz KL, Watson PR. Cisplatin-based chemotherapy in advanced basal and squamous cell carcinomas of the skin: results in 28 patients including 13 patients receiving multimodality therapy. J Clin Oncol. 1990;8(2):342-346. doi:10.1200/JCO.1990.8.2.342
8. Di Lorenzo S, Zabbia G, Corradino B, Tripoli M, Pirrello R, Cordova A. A rare case of giant basal cell carcinoma of the abdominal wall: excision and immediate reconstruction with a pedicled deep inferior epigastric artery perforator (DIEP) flap. Am J Case Rep. 2017;18:1284-1288. doi:10.12659/ajcr.905671
9. Zeng A, Xu J, Yan X, You L, Yang H. Pedicled deep inferior epigastric perforator flap: an alternative method to repair groin and scrotal defects. Ann Plast Surg. 2006;57(3):285-288. doi:10.1097/01.sap.0000221466.97653.15


