Image Corner: Looking at the Heart
March 2016
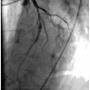
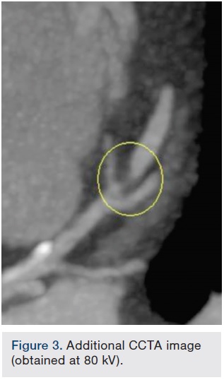
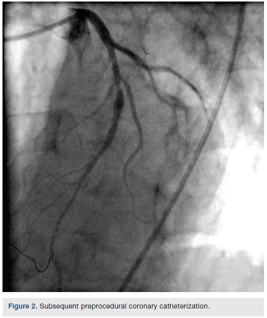
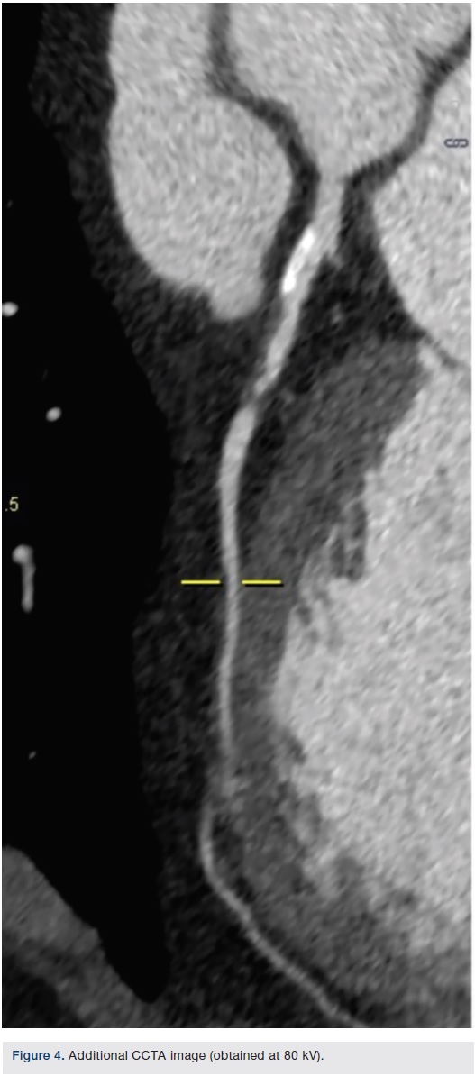
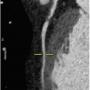
The SOMATOM Force CT system (Siemens Healthcare), which enables fast temporal resolution, was used to perform a coronary CT angiogram (CCTA) on an emergency department patient. The CCTA displayed a 90 percent or greater non-calcified short stenosis in the mid left anterior descending coronary artery (LAD). The next day, the patient’s coronary catheterization revealed a mid-LAD stenosis, type B1 and ulcerative, just distal to a moderate-sized diagonal. A drug-eluting stent was placed; no residual stenosis and normal distal flow was observed. A day after stent placement, the patient was discharged.
Images/courtesy St. Elizabeth Hospital, Edgewood, Kentucky






