Temporary Coverage of a Forehead Defect Following Tumor Resection with a Hyaluronic Acid Biological Dressing: A Case Report
Abstract
Coverage of large skin defects, especially following tumor resection and in patients who are not good candidates for procedures requiring general anesthesia, may require a staged procedure. The use of dermal substitutes to cover the defect until autologous grafting can be performed has been described.
Hyaluronic acid biological dressings (HABD) also have been used for the temporary coverage of partial- to full-thickness posttraumatic or postsurgical wounds. An 82-year-old man with cardiopathy presented with an 8 cm x 4 cm ulcerated squamous cell carcinoma on his forehead. Following surgical removal under local anesthesia, the 12 cm x 8 cm defect was covered with HABD, which was removed immediately before the scheduled surgical closure (21 days later). At that time, well-vascularized granulation tissue completely covered the bone and an autologous skin graft was applied. Punch biopsy results obtained 4 weeks after surgery showed dressing remnants in the dermis and confirmed the graft was totally integrated with the surrounding tissues; there was no evidence of hypertrophy or excessive scarring. In this patient, the staged procedure provided an excellent alternative to a complex surgical procedure. Use of the biological dressing required only a weekly wound and dressing assessment and the cosmetic result was good without evidence of a recurrence at the 2-year follow-up. Studies to ascertain the efficacy and effectiveness of this dressing for the temporary coverage of soft tissue defects are needed.
Potential Conflicts of Interest: none disclosed
Coverage of large skin defects remains a challenge for surgeons. Large tumor resections pose additional concerns regarding complete (wide) resection of the neoplasm and the need to wait for histology results confirming the tumor was completely removed. Coverage with a flap, which may be the treatment of choice in terms of functional and aesthetic outcome, is not an option when additional surgery for complete tumor removal remains a possibility.1,2 Autologous grafts, simpler but usually providing a less satisfactory outcome, require creating another wound on another part of the body to obtain tissue. Yet immediate coverage of these defects has to be provided, ideally serving as a first step in achieving definitive closure if further intervention in the region is unnecessary.
The use of dermal substitutes such as acellular dermal matrix and collagen membranes, followed by autologous grafting to repair skin defects including ulcers and posttraumatic soft-tissue loss, has been described.3,4 Bastidas et al4 prospectively studied 25 patients using acellular dermal matrix for temporary coverage of exposed neurovascular structures in extremity wounds after trauma or oncologic ablation. To monitor outcome, neurovascular structures and the wound bed were examined. At the time of dressing removal (range: 18–21 days), successful coverage of neurovascular structures with complete viability and healthy granulation tissue without clinical evidence of infection was observed in all patients.4 Case studies and case series5-10 have reported the use of a dermal matrix for reconstruction after tumor resection.
A hyaluronic acid biological dressing (HABD) (Hyalomatrix® PA, marketed by Fidia Advanced Biopolymers — FAB — Abano Terme [PD], Italy) consists of an absorbent, biodegradable nonwoven pad composed of a benzyl ester of hyaluronic acid, a naturally occurring extracellular matrix molecule. The hyaluronic acid layer is physically coupled with a transparent, semipermeable, flexible film of medical-grade synthetic silicone elastomer. In vitro degradation studies11 of hyaluronic acid-based scaffolds demonstrated their ability to produce matrices for fibroblast growth and adequate collagen matrix deposition. Human fibroblasts, when seeded onto hyaluronic acid scaffold, were able to neosynthesize dermal extracellular matrix. In particular, collagen type I fibers and adhesion molecules (eg, type IV collagen, fibronectin, and laminin), were identified after 3 weeks of in vitro culture.
Results of a national retrospective survey12 of HABD in burn patients (n = 57) suggest it offers a good alternative for temporary coverage of deep partial- and full-thickness burns. Moreover, clinical observational studies12-14 supported its use for temporary coverage of soft tissue loss (eg, traumatic and postsurgical wounds) and ulcers. These wounds as well as burns are the main indication for its clinical use. Because it lacks intrinsic bacteriostatic or bactericidal properties, HABD should not be used on infected wounds. It can be left in place for a maximum of 21 days according to manufacturer recommendations, after which it must be replaced by a new dressing or by a skin autograft. The only mentioned contraindication is individual hypersensitivity to the components of the device.
This study describes use of HABD following tumor resection. ![]()
Case Report
Mr. S is an 82-year-old man with cardiopathy. He presented to the authors’ unit on December 9, 2008 with an ulcerated skin lesion on his forehead. The lesion had evolved slowly over 3 years; at the time of admission, it measured 8 cm x 4 cm (see Figure 1a). The clinical diagnosis of squamous cell carcinoma was confirmed by histopathologic analyses of three biopsies that represented distinct lesional sites and included the most infiltrated areas. Despite the advanced local growth of the lesion, imaging studies did not detect distant metastases.
The authors performed a wide excision that included the underlying periosteum to obtain free soft-tissue margins as confirmed by intraoperative frozen sections on January 5, 2009 (see Figure 1b). Tumor removal resulted in a 12 cm x 8 cm skin defect that was temporarily covered using two 5 cm x 5 cm pads of HABD (see Figure 1c). Surgery was performed under local anesthesia.
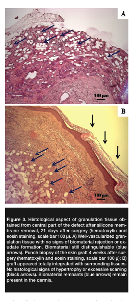
Postoperatively, no additional dressings were used. No bleeding or infection was observed and pain relief (paracetamol 2 g/daily) was required only during the initial postoperative period. Definitive coverage using an autologous skin graft under local anesthesia was planned for day 21 post surgery. The HABD silicone membrane was removed on January 26, 2009 (see Figure 2a). The hyaluronic acid-based layer was completely reabsorbed and well-vascularized granulation tissue completely covered the frontal bone, allowing definitive repair using an autologous split-thickness skin graft (Figure 2b). No complications occurred and the aesthetic result was good 4 weeks after surgery (see Figure 2c). Histological samples supported the authors’ macroscopic observations. The granulation tissue sample, harvested in the center of the defect, confirmed the presence of vascularized granulation tissue with no signs of biomaterial rejection, exudate formation, or contamination (see Figure 3a). The biomaterial was still distinguishable 3 weeks after surgery (see blue arrows in Figure 3a). Results of a skin graft punch biopsy, harvested in the central part of the graft 4 weeks after surgery, demonstrated total integration of the graft with the surrounding tissues and complete vascularization of the wound bed; the graft resembled normal skin and showed no signs of hypertrophy or excessive scarring (see Figure 3b).
Mr. S was seen for follow-up every 3 months in the first year and every 6 months in the second year post surgery. Clinical and laboratory examination (x-rays, MRI, ecography) revealed no sign of tumor recurrence or metastasis at the latest follow-up visit, 2 years after surgery (January 14, 2010).
Prognosis. Most patients with primary cutaneous squamous cell carcinoma have an excellent prognosis; however, for persons with metastatic disease, the long-term prognosis is extremely poor.15 Ten-year survival rates are <20% for patients with regional lymph node involvement and <10% for patients with distant metastases.15 If metastasis occurs, regional lymph nodes are involved in approximately 85% cases; approximately 15% of cases involve distant sites, including the lungs, liver, brain, skin, and bone.15
Discussion
The objective of this case report was to describe a simple surgical technique for repair of soft tissue defects resulting from tumor removal in an elderly patient who was not a good candidate for complex reconstructive procedures under general anesthesia. The literature contains descriptions of numerous procedures aimed at concealing frontal defects, including skin grafts, local or free distal flaps, and tissue expansion.1,2 The color and texture of local tissue are invariably superior to any type of graft or flap brought in from a distant donor area; the facial aesthetic results yielded by such alternative distal-grafts or flaps are particularly poor. Although the alternative — tissue expansion — can produce aesthetically pleasing results, it is a protracted procedure that may involve temporary but significant cosmetic deformity and is best suited to patients who require definitive optimal coverage and for whom time is not of the essence.16
The choice of reconstruction is mainly influenced by patient factors such as age, coexisting medical conditions, length of procedure, and fitness for general anesthesia. The case presented involved an 82-year-old man with cardiopathy and a squamous cell carcinoma who was not a good candidate for an invasive surgical procedure under general anesthesia. Therefore, a two-stage surgical procedure under local anesthesia was planned, which comprised 1) surgical removal of the tumor and immediate coverage of the soft tissue defect using a dermal substitute and 2) definitive repair using an autologous skin graft.
Several case reports3-9 describe the use of dermal substitutes to reconstruct a soft tissue defect following tumor resection in patients who cannot tolerate complex reconstruction procedures. Attempts to develop safe, biocompatible, easy to handle, and effective dermal substitutes have been ongoing. In the evolution of dermal substitutes, many different types have been developed.16-19 Case studies20-22 described the use of acellular dermal graft (AlloDerm®, Lifecell Corp., Woodlands, TX) for reconstruction of large upper eyelid and oral cavity defects in cancer patients, as well as for wounds following Mohs micrographic surgery. In two case studies,23,24 Matriderm® (Eurosurgical Ltd, UK) showed promising results when applied simultaneously with split-thickness skin grafts in a single-stage operative procedure to treat full-thickness burns. In a preliminary observational study,25 Integra Dermal Regeneration Template® (Integra LifeSciences Holdings Corporation, Plainsboro, NJ) was applied to 13 severely burned patients for the reconstruction of their upper extremities, resulting in recovery of range of motion in the upper-extremity joints and excellent skin pliability in the treated areas. A recent study26 looked at clinical and histological outcomes of 14 patients treated with Integra more than 2 years earlier and showed good patient satisfaction regarding softness, sensation, and appearance of reconstructed skin. Pelnac® (Gunze Medical Division, Japan) is indicated for third-degree burn injuries, traumatic skin defects, skin defects after excision of tumors or nevus, and donor sites of pedicled or free flaps.27,28
HABD was selected for use after promising results were obtained using hyaluronic acid-based scaffolds for in vitro and in vivo experimental tissue engineering applications.29,30 Moreover, in in vitro and in vivo studies,11,31 hyaluronic acid biomaterial was shown to be highly biocompatible and completely biodegradable. Results of a case report,32 national retrospective study,12 and in vivo experiments33 in a controlled, porcine, acute full-thickness excisional wound model have shown that skin substitutes based on the same polymer are safe and useful for the reconstruction of deep partial- and full-thickness skin loss. Only clinical observational, not controlled studies, have been conducted to evaluate the use of HABD as temporary coverage of soft tissue losses due to burns.13,14
Conclusion
In a case study of an elderly patient with a forehead defect treated in a two-stage strategy involving HABD, the dressing did not have to be changed until definitive closure was scheduled and no adverse events were observed. The main advantage to using this approach is that it provided a thicker, more durable coverage than direct skin grafting on the skull without the need for general anesthesia. The dressing’s transparency facilitates monitoring the condition of the wound — thus, additional benefits include allowing for early detection of local tumor recurrence and additional resections if required to obtain clear surgical margins before performing the final reconstruction with split-thickness skin grafts. The main disadvantage of using HABD, or any other temporary dressing, is that it requires a multipart procedure. In addition, dressing application is simple but follow-up visits with experienced clinicians are required.
The results of this case study are encouraging. The ease of product use, biocompatibility, and relative stability are appealing. However, larger prospective studies and randomized controlled trials are needed to ascertain the efficacy, effectiveness, cost-effectiveness of HABD in the management of deep partial- and full-thickness skin loss after trauma, burns, and oncologic surgery.
Dr. Vindigni is an Assistant Professor; Dr. Bassetto is a Full Professor; Dr. S. Abatangelo, Dr. Pandis, and Dr. Lancerotto are residents, Unit of Plastic and Reconstructive Surgery, University of Padova, Padova, Italy. Dr. Zavan is an Associate Professor, Department of Histology, Microbiology and Medical Biotechnology, University of Padova. Dr. Brocco is a medical doctor, Casa di Cura di Abano Terme, Padova, Italy. Dr. G. Abatangelo is a Full Professor, Department of Histology, Microbiology and Medical Biotechnology, University of Padova. Please address correspondence to: Vincenzo Vindigni, MD, PhD, Unit of Plastic Surgery, University of Padova,Via Giustiniani 2, 35100 Padova, Italy; email: vincenzo.vindigni@unipd.it.
1. Angelos PC, Downs BW. Options for the management of forehead and scalp defects. Facial Plast Surg Clin North Am. 2009;17(3):379–393.
2. Kruse-Lösler B, Presser D, Meyer U, Schul C, Luger T, Joos U. Reconstruction of large defects on the scalp and forehead as an interdisciplinary challenge: experience in the management of 39 cases. Eur J Surg Oncol. 2006;32(9):1006–1014.
3. Leffler M, Horch RE, Dragu A, Bach AD. The use of the artificial dermis (Integra®) in combination with vacuum assisted closure for reconstruction of an extensive burn scar – A case report. J Plast Reconstr Aesthet Surg. 2010;63(1):e32–e35.
4. Bastidas N, Ashjian PJ, Sharma S. Acellular dermal matrix for temporary coverage of exposed critical neurovascular structures in extremity wounds. Ann Plast Surg. 2009;62(4):410–413.
5. Momoh AO, Lypka MA, Echo A, et al. Reconstruction of full-thickness calvarial defect: a role for artificial dermis. Ann Plast Surg. 2009;62(6):656–659.
6. Corradino B, Di Lorenzo S, Barone AA, Maresi E, Moschella F. Reconstruction of full-thickness scalp defects after tumour excision in elderly patients: our experience with Integra® dermal regeneration template. J Plast Reconstr Aesthet Surg. 2010;63(3):e245–e247.
7. Romaní J, Yébenes M, Escuder O, et al. Cutaneous Desmoid tumor: resolution of the surgical defect with a dermal regeneration template and an epidermal autograft. Dermatol Surg. 2009;35(10):1582–1587.
8. Komorowska-Timek E, Gabriel A, Bennett DC, et al. Artificial dermis as an alternative for coverage of complex scalp defects following excision of malignant tumors. Plast Reconstr Surg. 2005;115(4):1010–1017.
9. Spector JA, Glat PM. Hair-bearing scalp reconstruction using a dermal regeneration template and micrograft hair transplantation. Ann Plast Surg. 2007;59(1):63–66.
10. Gravante G, Delogu D, Giordan N, Morano G, Montone A, Esposito G. The use of Hyalomatrix PA in the treatment of deep partial-thickness burns. J Burn Care Res. 2007;28(2):269–74.
11. Galassi G, Brun P, Radice M, et al. In vitro reconstructed dermis implanted in human wounds: degradation studies of the HA-based supporting scaffold. Biomaterials. 2000;21(21):2183–2191.
12. Gravante G, Sorge R, Merone A, et al. Hyalomatrix PA in burn care practice: results from a national retrospective survey, 2005 to 2006. Ann Plast Surg. 2010;64(1):69–79.
13. Price RD, Das-Gupta V, Leigh IM, Navsaria HA. A comparison of tissue-engineered hyaluronic acid dermal matrices in a human wound model. Tissue Eng. 2006;12(10):2985–2995.
14. Esposito G, Gravante G, Filingeri V, Delogu D, Montone A. Use of hyaluronan dressings following dermabrasion avoids escharectomy and facilitates healing in pediatric burn patients. Plast Reconstr Surg. 2007;119(7):2346 –2347.
15. Alam M, Ratner D. Cutaneous squamous-cell carcinoma. N Engl J Med. 2001;29;344(13):975–983.
16. Argenta LC, Marks MW. Principles of tissue expansion. In: Mathes SJ. Plastic Surgery, 2nd Edition. Philadelphia, PA: Saunders Elseviers;2006:539–567.
17. Knight MF, Evans GR. Tissue engineering: progress and challenges. Plast Reconstr Surg. 2004;114(2): 26E–37E.
18. Abatangelo G, Brun P, Radice M, Cortivo R, Auth MKH. Tissue engineering. In: Barbucci R (ed). Integrated Biomaterials Science. New York, NY: Kluwer Academic/Plenum;2002:885–905.
19. Shevchenko RV, James SL, James SE. A review of tissue-engineered skin bioconstructs available for skin reconstruction. J R Soc Interface. 2010;7(43):229–258.
20. Hayek B, Hatef E, Nguyen M, Ho V, Hsu A, Esmaeli B. Acellular dermal graft (AlloDerm) for upper eyelid reconstruction after cancer removal. Ophthal Plast Reconstr Surg. 2009;25(6):426–429.
21. Girod DA, Sykes K, Jorgensen J, Tawfik O, Tsue T. Acellular dermis compared to skin grafts in oral cavity reconstruction. Laryngoscope. 2009;119(11):2141–2149.
22. Kontos AP, Qian Z, Urato NS, Hassanein A, Proper SA. AlloDerm grafting for large wounds after Mohs micrographic surgery. Dermatol Surg. 2009;35(4):692–698.
23. Atherton DD, Tang R, Jones I, Jawad M. Early excision and application of matriderm with simultaneous autologous skin grafting in facial burns. Plast Reconstr Surg. 2010;125(2):60e–61e.
24. Ryssel H, Radu CA, Germann G, Otte M, Gazyakan E. Single-stage Matriderm® and skin grafting as an alternative reconstruction in high-voltage injuries. Int Wound J. 2010;7(5):385–392.
25. Chou TD, Chen SL, Lee TW, et al. Reconstruction of burn scar of the upper extremities with artificial skin. Plast Reconstr Surg. 2001;108(2):378–384.
26. Moiemen N, Yarrow J, Hodgson E, et al. Long-term clinical and histological analysis of Integra dermal regeneration template use and literature review of template histology. Plast Recontr Surg. 2010;127(3):1149–1154.
27. Suzuki S, Kawai K, Ashoori F, Morimoto N, Nishimura Y, Ikada Y. Long-term follow-up study of artificial dermis composed of outer silicone layer and inner collagen sponge. Br J Plast Surg. 2000;53(8):659–666.
28. Lee JW, Jang YC, Oh SJ. Use of the artificial dermis for free radial forearm flap donor site. Ann Plast Surg. 2005;55(5):500–502.
29. Vindigni V, Cortivo R, Iacobellis L, Abatangelo G, Zavan B. Hyaluronan benzyl ester as a scaffold for tissue engineering. Int J Mol Sci. 2009;10(7):2972–2985.
30. Tonello C, Vindigni V, Zavan B, et al. In vitro reconstruction of an endothelialized skin substitute provided with a microcapillary network using biopolymer scaffolds. FASEB J. 2005;19(11):1546–1548.
31. Campoccia D, Doherty P, Radice M, Brun P, Abatangelo G, Williams DF. Semisynthetic resorbable materials from hyaluronan esterification. Biomaterials. 1998;19(23):2101–2127.
32. Harris PA, di Francesco F, Barisoni D, Leigh IM, Navsaria HA. Use of hyaluronic acid and cultured autologous keratinocytes and fibroblasts in extensive burns. Lancet. 1999;353(9146):35–36.
33. Myers SR, Partha VN, Soranzo C, Price RD, Navsaria HA. Hyalomatrix®: a temporary epidermal barrier, hyaluronan delivery, and neodermis induction system for keratinocyte stem cell therapy. Tissue Eng. 2007;13(11):2733–2741.





