Left Ventricular Malposition of an ICD Lead in a Patient with Ebstein’s Anomaly
March 2011
In this article, the authors present a brief discussion on left ventricular malposition of an ICD lead in a patient with atrial septal defect, and provide tips to ensure definitive diagnosis.
A 50-year-old male with congestive heart failure secondary to Ebstein’s anomaly presented for recurrent shocks from his implantable cardioverter-defibrillator (ICD). His electrocardiogram (ECG) (Figure 1) showed paced rhythm with right bundle branch block morphology which raised the question of left ventricular malposition of the ICD lead. On the postero-anterior chest radiograph (Figure 2) the tip of the lead was situated very far laterally to the left sternal border. A lateral chest
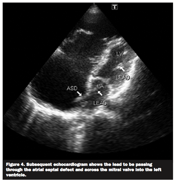
radiograph (Figure 3) showed the lead to be positioned posteriorly in the cardiac silhouette, which is consistent with left ventricular malposition. Subsequent echocardiography (Figure 4) showed the lead to be passing through the atrial septal defect and across the mitral valve into the left ventricle.
Ebstein’s malformation has a known association with atrial septal defect. Hence, when placing an ICD in a patient with Ebstein’s anomaly,
special attention should be paid to avoid passage of the lead to the left heart. Our patient had his ICD for almost 2 years prior to presentation with no evidence of any thromboemblic event. Anticoagulation was considered, however, the patient died of cardiogenic shock shortly after admission. A less likely scenario to explain this case would be to presume that the lead was originally implanted in the right ventricle and migrated to the left heart later. However, since this was the patient’s first admission to our institution, we did not have any previous radiographs or echocardiograms to support this presumption.
Left ventricular malposition of the transvenous lead has been mainly reported in patients with
atrial or ventricular septal defects.1,2 It can cause thromboembolic events like stroke or peripheral arterial occlusion. This complication can be easily missed on intraoperative fluoroscopic imaging. ECG and chest radiographic findings often suggest the diagnosis. In proper positioning, the tip of the lead is expected to be adjacent to the left sternal border on the postero-anterior radiograph and to run anteriorly in the cardiac silhouette on the lateral radiograph. Definitive diagnosis can be established via echocardiography.
————————————————————
Reprinted from the Journal of Invasive Cardiology 2011;23:42–43.
The authors report no conflicts of interest regarding the content herein.
References
- Splittgerber FH, Ulbricht LJ, Reifschneider HJ, et al. Left ventricular malposition of a transvenous cardioverter defibrillator lead: A case report. Pacing Clin Electrophysiol 1993;16:1066–1069.
- Bauersfeld UK, Thakur RK, Ghani M, et al. Malposition of transvenous pacing lead in the left ventricle: Radiographic findings. Am J Roentgenol 1994;162:290–292.


