Cryoablation of Colorectal Cancer Metastasis of the Liver Utilizing the Chopsticks Technique
ABSTRACT: The chopsticks technique utilizes 2 needles to confine the tumor to stabilize it, avoiding the need to penetrate the tumor with 1 or more needles. This technique can also be useful for centrally located tumors to avoid the risk of damaging blood vessels and major bile ducts during needle insertion. This clinical image series demonstrates the use of the chopsticks technique during cryoablation of a colorectal cancer metastasis in the liver.
IO Learning. 2022;10:E9-E10. Epub 2022 May 31.
Key words: chopsticks technique, colorectal cancer, cryoablation
The chopsticks technique utilizes 2 cryoablation needles to confine the tumor in order to stabilize it, avoiding the need to penetrate the tumor with 1 or more needles. The technique can also be useful for centrally located tumors to avoid the risk of damaging blood vessels and major bile ducts during needle insertion.
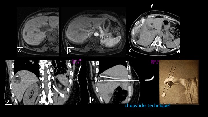
Our patient was a 67-year-old man with a single 2-cm liver metastasis in the right lobe derived from colorectal cancer. Fat-suppression-weighted T1 acquired before and after contrast media injection showed a well-defined hypointense lesion with a peripheral contrast enhancement border (Figures 1A, 1B). The patient was considered unsuitable for surgery or chemotherapy. The tumor board decided on a percutaneous ablative approach.
The metastasis was located a short distance from the hepatic margin, so cryoablation was chosen as the ablation method instead of other ablative methods such as radiofrequency or microwave ablation.
The Chopsticks Technique
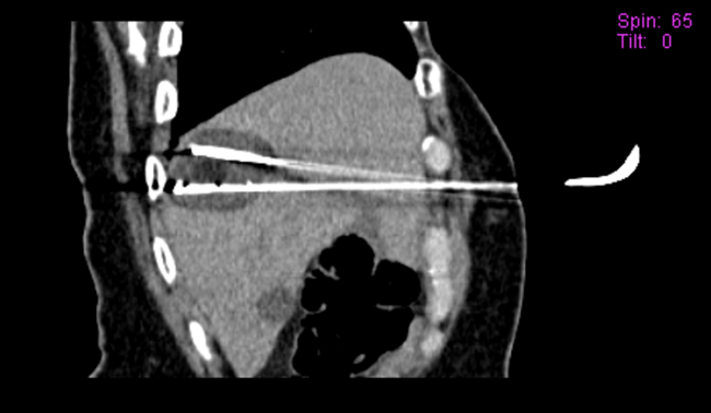
With the patient supine, 2 cryoprobes were inserted by anterior approach, and placed almost parallel in a chopsticks formation immediately above and below the lesion, in order to encase the metastasis and create a safety margin around the lesion.1
Of note, the lateral and posterior approach was not chosen to reduce the risk of unwanted puncture of the pleura and subsequent potential pneumothorax. In addition, the distance between the 2 probes was about 15 mm to optimize the synergy of action of the 2 ice balls.
At the conclusion of the freezing phase, axial, coronal, and sagittal computed tomography reconstruction (Figures 1C, 1D, 1E) showed the tumor (central hypodensity) and the ice ball as hypodensity around the tumor, enlarging the ablation area by 5/10 mm, corresponding to the safety zone.
Reference
1. Kawamura M, Izumi Y, Tsukada N, et al. Percutaneous cryoablation of small pulmonary malignant tumors under computed tomographic guidance with local anesthesia for nonsurgical candidates. J Thorac Cardiovasc Surg. 2006;131(5):1007-1013. doi:10.1016/j.jtcvs.2005.12.051
From the Department of Oncological and Interventional Radiology, Oncological Hospital Azienda Ospedaliera Brotzu Cagliari, Regional Referral Center for Oncological Diseases, Cagliari, Italy.
Disclosure: The author has completed and returned the ICMJE Form for Disclosure of Potential Conflicts of Interest. The author reports no conflicts of interest regarding the content herein.
Address for Correspondence: Claudio Pusceddu, MD, Head of the Department of Oncological and Interventional Radiology, Oncological Hospital AOBrotzu Cagliari, Regional Referral Center for Oncological Diseases, Via Edward Jenner, 09121 Cagliari CA, Italy. Email: clapusceddu@gmail.com; Website: wdiologia-interventistica-oncologica.it


