A Closer Look At Redefining Charcot
For foot and ankle specialists, the diagnosis and complete management of neuropathic arthropathy ranks among the most daunting challenges. Currently, one makes the clinical diagnosis when there is a compilation of clinical and radiographic findings suspicious for the condition. The diagnosis relies upon the histopathology to identify the neuropathic joint destruction. Once one makes a diagnosis, either definitively or clinically, the treatment approach remains the discretion of the physician. Those best trained for treating this condition rely on the literature completed by some of the world’s most renowned authorities in the fields of diabetes research and foot and ankle surgery.1 Although there are numerous articles on managing the condition, many are case reports and isolated accounts of individual experience.2 The traditional academic approach considers the etiology of Charcot neuroarthropathy, possible triggers of the disease process and focuses on arresting the acute, destructive phase of this condition. While there are numerous conditions that lend themselves to the development of neuroarthropathy, the prevailing thinking is there are at least two essential components that incite neuropathic joint destruction: a significant sensory nerve deficit (somatic and autonomic); and trauma (trivial or otherwise).3
Understanding The Degenerative Changes With Neuropathic Joints
The historical literature reveals significant insight regarding the neuropathic joint and how it behaves. In 1917, Eloesser designed animal research testing to answer critical questions regarding how and why a neuropathic joint undergoes degenerative changes.4 One of the first questions he posed was: Is a nerve lesion the primary cause of Charcot joint? For example, does a degenerative change in nerve result in bone atrophy? To study this, he sectioned a dorsal nerve root to the extremity in 42 cats, producing total analgesia, anesthesia and ataxia in a unilateral fashion. Each animal developed a degenerative posterior column, producing unilateral neuropathy and allowing for the contralateral limb to serve as a control. All animals developed ataxia, hypotonia in gait and loss of pain perception. Seventy percent developed spontaneous lesions of bone including multiple fractures and dislocations while 30 percent developed typical Charcot joint changes. While nerve damage produced a dysfunctional limb, this study did not identify the cause of the Charcot joint.4 These findings only prompted further questions. Is the Charcot joint the result of trophic bone changes due to a nerve lesion or is it the result of abnormal movements of ataxia in an anesthetic limb? Eloesser studied this question in two parts. First, he looked at the ribs of normal controls and denervated cats. In vitro chemical analysis and stress studies of the ribs failed to reveal evidence of atrophy or weakness on these non-weightbearing bones. These findings seem to discount the theory of Charcot that a trophic nerve disturbance resulted in the wasting of bone.4 Eloesser further noted in stress testing the ribs that the affected bone was usually a little stronger than the unaffected side. He chose not to speculate if these findings were due to a trophic nerve disturbance affecting bone metabolism. He related that the denseness one sees in tabetic bone on X-ray might be the result of ataxia and loss of normal muscle function that increases weightbearing stress on bone. The experiment did not answer the question of whether trophic nerve injury itself caused bone to become more dense, sclerotic and susceptible to bone and joint damage.4 In a subsequent phase of the experiment, Eloesser explored the question of whether it was the ataxia in an anesthetic limb that incited a Charcot arthropathy. Was it the unnatural positions assumed by the ataxic individual that resulted in fractures and dislocations? The next phase of the experiment included a transection of a dorsal nerve root (rhizotomy) to denervate selected ribs of each cat. Researchers subsequently used thermocautery to damage these non-weightbearing bones. This sequence of nerve damage followed by trauma resulted in Charcot joint changes. This suggests that the condition of neuroarthropathy is the response of the anesthetic limb to trauma. This condition occurs in otherwise active individuals, which is why they continue to suffer from degenerative joint disease. Those afflicted with the neuropathy fail to receive the sensory input of pain, which in non-neuropathic patients would prompt avoidance of weightbearing and sparing of the joint. When Charcot changes occur in the lower extremity, an otherwise active individual will suffer from continued pulverization of bone beneath his or her own body weight.
Gauging The Impact Of Key Conclusions From The Study
From these experiments, Eloesser reports a number of conclusions. • Severing nerve roots does not result in bone atrophy. • Neuropathic joint destruction cannot be blamed on concomitant infection or systemic disease. • An arthritic condition, such as osteoarthritis due to everyday wear and tear, that is followed by nerve root trauma does not produce neuropathic joint changes. In other words, the Charcot joint is not simply the aggravation of a preexisting osteoarthritis in a limb that later becomes anesthetic. • None of the findings from these experiments support the presence of trophic nerve function. • Trauma and the lack of pain sensation are the cause of most tabetic bone and joint lesions.4 Keep in mind that Eloesser’s study has been criticized as it did not study the early stage of neuropathic change and some feel Eloesser assumed that simple sectioning of posterior nerve roots accurately simulated the nerve involvement found in tabetic patients.5 Eloesser’s findings are also countered by the experiments conducted by Retief and Dreyer, who demonstrated through histological studies the effects of nerve damage on bone healing in rat models.6 In their study, Retief and Dreyer evaluated various degrees of nerve damage in rat mandibles after they had been traumatized with a round burr.6 The degrees of nerve damage ranged from damage of the epineurium to gross damage of the entire nerve bundle. Their results showed that bone healing was adversely affected by local nerve damage and that the degree of healing disturbance correlated well with the degree of neural damage. These findings seem to suggest that there is such a thing as trophic nerve activity and that injury to these trophic nerves interferes with normal bone healing.
Assessing The Pathomechanics Of The Anesthetic Joint
There have been other approaches to investigating the pathomechanics of the anesthetic joint. In 1928, Leriche and Brenckmann introduced living and dead bone fragments into anesthetic dog elbows and knees.7 The authors noted that the dead bone initiated a moderate giant cell infiltration and connective tissue reactions. This condition regressed spontaneously without residual evidence of chronic inflammation. In contrast, the living bone initiated marked hypertrophy and thickening of the synovium. Living bone was dead by three weeks. The researchers found that a giant cell infiltrate rapidly phagocytized bone and the highly vascular polypoid processes of connective tissue rapidly invaded the cartilaginous and subchondral surfaces of bone. The resulting fibrocartilaginous and bone changes simulated that of a Charcot joint. This demonstrates that intraarticular fragments of living bone can incite giant cell infiltration and phagocytization of bone, yielding the destructive changes commensurate with that of a neuropathic joint (Charcot joint). As the pathophysiology of a Charcot joint progresses, it is necessary to discuss one of the most profound physical and radiographic changes that one sees in the midst of an acute Charcot flare. In regard to the clinical exam, an acute Charcot flare consists of marked edema and calor from 2 to 7 degrees in comparison to the contralateral limb. Sometimes the limb appears to be nearly double the size of the contralateral limb and is accompanied by the literal washout of bone minerals via resorptive change one would see on plain X-rays. One small study revealed an increase in diastolic blood flow in patients with diabetic neuropathy at the level of the dorsalis pedis and other indicators of decreased peripheral resistance in comparison to normal controls providing one potential mechanism for this phenomena.8 It has been demonstrated that the sympathetic denervation of arterioles results in massive vasodilatation and A-V shunting. This vascular dysfunction, in turn, yields a generalized osteopenia and increased risk of fracture.9,10 When osteopenia becomes significant, insufficiencies at ligament and tendon attachments develop. This begins the vicious cycle of joint instability and subsequent subluxations and dislocations of bone. While the prevailing thinking is that vascular dysfunction can lead to bone demineralization and the development of insufficiency fractures, we cannot presume the pathomechanics of a Charcot joint are that simple. An active Charcot arthropathy is not just a foot stricken by chronic edema and severe osteoporosis although these are certainly characteristics of the clinical and radiographic exam.11 Researchers have suggested that the vascular dysfunction noted in the Charcot joint may be the neural effect of a local reflex arc as opposed to a nerve root denervation like one might see with reflex sympathetic dystrophy (RSD).12 This is an interesting correlation since flares of neuroarthropathy are in fact transient and proper treatment can bring them to a halt. The suggestion that bisphosphonates are beneficial in both RSD and Charcot arthropathy seems to support this notion. The fact that histopathologic study of bone reveals increased osteoclastic activity that is not countered by a similar increase in osteoblastic activity may support the idea that this is in fact a local and reversible vasomotor dysfunction. To clarify the concept, Johnson defined the neurovascular theory of Charcot. He wrote that “a neurally initiated vascular reflex leads to very active bone resorption by osteoclasts in the area supplied by a particular vascular bed while simultaneously altering the circulatory pattern in the associated skin and soft tissue. Fracturing and repair, when they occur, are late secondary phenomena.”13 Important clinical questions, such as why the Charcot joint is self-limiting and asymmetric, remain unanswered. If one believes the condition is principally the result of an autosympathectomy, then the increased vascular inflow, resorption and osteolysis should not be reversible.
Musculoskeletal Considerations With Charcot: What You Should Know
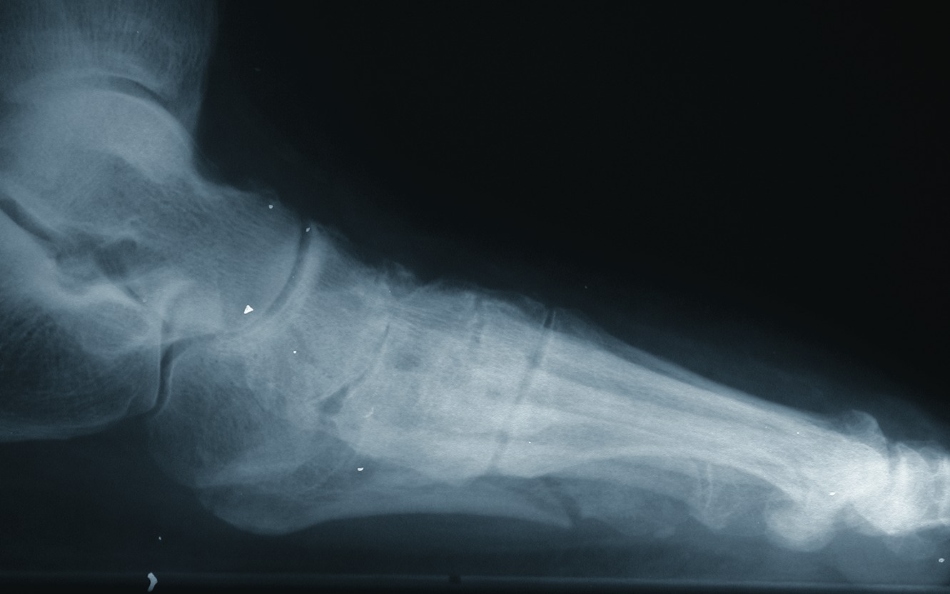
In the face of diabetes, joint stiffness and immobility can result from the glycosylation of soft tissues. This phenomenon is known as cheiroarthropathy.14,15 One would find this soft tissue glycosylation proportionate to the severity of diabetes. Clinicians can predict cheiroarthropathy based upon hemoglobin (Hgb) A1C levels. For every unit above eight, there is an increased risk of joint immobility by 250 percent.14 This type of joint dysfunction will lead to abnormal weightbearing and further complicate the aberrant gait patterns noted in patients with peripheral neuropathy. Research has further clarified that the motor deficits associated with advanced neuropathic disease results in muscle weakness and the development of abnormal mechanics in weightbearing and gait. Abnormal biomechanics yield atypical weightbearing patterns and the development of stress phenomena in soft tissue and bone. Associated ligamentous structures can become worn and elastic properties may diminish, resulting in joint instability and fractures. Newman proposed the theory that ligamentous laxity was the earliest sign of neuropathic joint disease.16 The prevailing thinking is that this laxity is the start of a vicious cycle of subtle subluxations and dislocations that would be a prelude to spontaneous dislocations of joints. If left unchecked, this would result in fractures and subsequent reactive bone formations that have become pathoneumonic for the Charcot joint. In the case of the neuropathic patient with motor and peripheral sensory loss, the lack of epicritic sensation results in a failure to recognize weakness, injury or insufficiencies of soft tissue or bone. This combined motor sensory dysfunction sets the stage for even trivial trauma to incite a dramatic propagation of inflammation, soft tissue hyperemia, resorptive bone destruction and complete loss of structural integrity that is often the harbinger of limb loss. In reviewing the historic literature, Peltier points out that the classic article written by Charcot did not correlate the development of a Charcot joint to diabetes but emphasized its relationship to locomotor ataxia.17,18 Coupling this with the fact that we are learning more and more about the effects of non-insulin dependent diabetes mellitus (NIDDM) on the dynamics of the musculoskeletal system, it stands to reason that we may be seeing more injury and reports of Charcot joint development as the number of patients with diabetes has increased in epidemic proportions over time.19 Neuropathic joints come in two varieties: hypertrophic and atrophic.5 In the wake of hypertrophic bone destruction, one will see subchondral cystic degeneration, cortical erosions, joint space narrowing, subluxations and dislocations with sclerotic changes, fragmentation of bone and heterotopic bone formations. In regard to these abnormal bone changes, clinicians typically see them in the lower extremities anywhere from the metatarsophalangeal joints to the ankle. While the Lisfranc joint is the most commonly afflicted, midfoot, rearfoot and ankle destruction is not uncommon. When it comes to atrophic bone destruction, physicians usually see this condition in the upper extremities and it typically involves patterns of resorptive change in the joint margins. For the most part, management of the neuropathic joint is guided by radiographic changes clinicians see in serial X-rays. One can cross-correlate the clinical staging of disease with radiographic changes. Immediate treatment includes the benefit of offloading the lower extremity and extensive patient education.
Searching For A Standard Of Care
When it comes to managing this rapidly destructive condition, there is much that remains uncharted in the medical literature. In spite of all we have learned over the years, the standard of care for the patient with Charcot neuroarthropathy remains largely ill defined as there are numerous stages in which it can present.20 As such, no strict guidelines of practice have been suggested. In fact, there remains a large fraction of the medical profession that is, by and large, ignorant of this condition altogether. Despite this fact, there is a general consensus that one should address the onset of this disease via immobilization and complete offloading of the affected joint until there is evidence of stabilization and bone consolidation. Clinically, it is the outward signs, such as resolution of edema and restoration of a normal temperature gradient, that are supportive of a remitting Charcot joint. There are a number of adjunctive procedures that can improve bone quality, enhance bone consolidation and reduce instability, and these procedures are supported in the current literature. Adjunctive measures in the treatment of a Charcot joint include the use of intravenous bisphosphonate therapy, external bone stimulation and various prosthetic devices.21-26 There is a paucity of literature when it comes to the nuances in clinical management. These nuances in management include when and how to begin the return to weightbearing process. There are key questions that evolve in the midst of managing these cases and they include queries regarding both short- and long-term management of the disease. These matters are often reconciled from pure clinical intuition. To date, there is no top reference source for the treatment of the Charcot foot. Typically, small case series are presented in the literature and no author has ever devised a standard of care for addressing the entire spectrum of Charcot disease. There are plenty of articles suggesting various staging schemes to categorize the condition but these often have no correlation to treatment. Eichenholz defined the stages of Charcot as a spectrum of radiographic changes that included stages I through III. He defined them as follows: Stage I: Development Stage II: Coalescence Stage III: Reconstruction.20 However, this staging system has been criticized for its lack of clinical correlation. While there is an exception to every rule, most medical conditions have a defined standard of medical care. So why would Charcot arthropathy be an exception? In the absence of a standard of care, many fundamental questions go unanswered. Consider some of the following questions. • Is the Charcot patient at a higher risk for infection than otherwise healthy patients who also have closed fractures and dislocations? • How long should a person be immobilized once he or she is diagnosed with an active Charcot joint? • Is there a threshold of immobilization that is the difference between being protective and costly regarding demineralization and risk of insufficiency fracture? • How does one titrate activity from complete immobilization into a weightbearing supportive device? • What device is most appropriate to use after a prolonged non-weightbearing period following reconstructive surgery? • How closely should you monitor these patients as they advance from non-weightbearing to weightbearing? • How frequently should X-rays be repeated for the early identification of a recurrent Charcot breakdown or insufficiency fracture? • Is there a role for elective surgery in patients with longstanding diabetes and peripheral neuropathy? • Is there a known history of Charcot joint?27 • If a patient with diabetes and peripheral neuropathy experiences trauma, what is his or her increased risk of developing a Charcot joint compared to that of the average population? Should these patients be warned that they are at significant risk for this? Is there one preferred way to describe their increased risk for Charcot breakdown? • If a surgeon has pursued a major reconstructive effort, how long should the non-weightbearing period last? • How is the immobilization period different if the surgeon has pursued reconstruction in a Stage I, Stage II and Stage III patient?20 • Should this be different if one employs external stabilizing constructs? If the clinician takes the time to ponder treatment options for the various stages of Charcot arthropathy, those are the questions one must face. Dr. Judge is a Fellow of the American College of Foot and Ankle Surgeons. She is a board-certified foot and ankle surgeon with further board certification in reconstructive foot and ankle surgery. She has offices in Toledo and Port Clinton, Ohio. She is the Official Foot and Ankle Physician for the Jamie Farr Owens Corning Classic and the Toledo Storm Hockey Team. References 1. Jacobs AM and Oloff LM. Diabetes; Complications in Foot Surgery. Chapter 13, 309-56. 2. Lippman E and Grow J. Neurogenic arthropathy associated with diabetes Mellitus; Review of the literature and review of one case in a juvenile diabetic. J Bone J Surg Am 37, 971-76. 1955. 3. Sinha S, Munichoodappa CS, and Kozak GP. Neuropathy (Charcot joints) in diabetes mellitus; clinical study of 101 cases. Medicine 51, 191-210. 1972. 4. Eloesser L. On the nature of neuropathic affections of the joints. Annals of Surgery 66, 201-06. 1917. 5. Brower AC and Allman RM. The neuropathic joint: a neurovascular bone disorder. Raidol Clin North Am 19 (Dec), 571-80. 1981. 6. Retief DH and Dreyer CJ. Effects of neural damage on the repair of bony defects in the rat. Archs Oral Biol 12, 1035-39. 1967. 7. Leriche R and Brenckmann E. Recherches experiementales sur le merchanisme de formation d ela chondromatose articulare et de l’arthrite deformante. Presse Med 2, 1441-43. 1928. 8. Chew J, Tan S, Sivathasan C, Pavanni R, and Tan S. Vascular assessment in the neuropathic diabetic foot. Clin Ortho Rel Res 320, 95-100. 1993. 9. Ward JD, Simms JM, Knight G, Boulton AJM, and Sandler DA. Venous distension in the diabetic neuropathic foot (physical sign of arteriovenous shunting). J Royal Society Med 76, 1011-14. 1983. 10. Nielubowicz J, Borkowski M, and Baroniicwski H. Opening of arteriovenous anastomoses and trophic ulcer formation after peripheral nerve injury. Journal of Cardiovascular Surgery 48, 100-15. 1975. 11. Childs M, Armstrong D, and Edelson GW. Is Charcot arthropathy a late sequela of osteoporosis in patients with diabetes mellitus? J Foot Ankle Surg 37 (5), 437-39. 1998. 12. Jeffcoate W, Lima J, and Nobrega L. The Charcot Foot. Diabetic Med 17, 253-58. 2000. 13. Johnson LC. Discussion of article by Williams et al. Arthritis Rheum 9, 358-59. 1966. 14. Armstrong D, et al. Expert insights on painful diabetic neuropathy. Podiatry Today. 16(3):30-34, 2003. 15. Chuter V, Payne C. Limited joint mobility and plantar fascia function in Charcot’s Neuroarthropathy. Diabetes UK. Diabetic Medicine 18, 558-61. 2001. 16. Newman JH. Spontaneous dislocation in diabetic neuropathy. J Bone J Surg B 61, 484. 1979. 17. Charcot JM. Archives de physiologie normale et pathologique. 1868. 18. Charcot JM. The classic; on the arthropathies of cerebral or spinal origin with a forward by Leonard Peltier, MD. Clin Ortho Rel Res 296, 4-7. 1993. 19. Seok Won Park, Goodpaster BH, Strotmeyer ES, de Rekeneire N, Harris TB, Schwartz AV, Tylavsky FA, Newman AB. Decreased Muscle Strength and Quality in Older Adults With Type 2 Diabetes: The Health, Aging, and Body Composition Study. Diabetes 55 (6), 1813-18. 2006. 20. Eichenholtz SN. Charcot joints. 1966. Springfield, Il, Thomas CC. 21. Jude EB, Burgess J, Lilleystone P, Mawer EB, and et al. Bisphosphonates in the treatment of Charcot Neuroarthropathy;A double blind randomised controlled trial. Diabetologia 44, 2032-37. 2001. 22. Selby PL, Young MJ, and Boulton AJM. Bisphosphonates: a new treatment for diabetic Charcot neuroarthropathy? Clinical Diabetes 13, 92. 1995. 23. Pitocco D, Ruotolo V, Caputo S, Mancini L, and et al. Six-month treatment with alendronate in acute Charcot neuroarthropathy. Diabetes Care 28, 1214. 2005. 24. Strauss E and Gonya G. Adjunct low intensity ultrasound in Charcot Neuroarthropathy. Clin Ortho Rel Res 349, 132-38. 1998. 25. Hanft JR, Goggin JP, Landsman A, and Surprenant M. The role of combined magnetic field bone growth stimulation as an adjunct in the treatment of neuroarthropathy/Charcot joint: An expanded pilot study. J Foot Ankle Surg 37(6), 510-15. 1998. 26. Morgan JM, Biehl WC, and Wagner W. Management of neruopathic arthropathy with the Charcot restraint Orhtotic Walker. Clin Ortho Rel Res 296, 58-63. 1993. 27. Fishco WD. Surgically induced Charcot’s Foot. J Am Podiatr Med Assoc 91 (8), 388-93. 2001. 28. Hartemann-Heurtier A, Ha Van G, and Grimaldl A. The Charcot Foot. Lancet 360. November 30, 2002, 1776-79. 2002. 29. Sanders L. Jean-Martin Charcot (1825-1893) The Man Behind The Joint Disease. J Am Podiatr Med Assoc 92 (7), 375-80. 2002. 30. Bruckner FF, Howell A. Neuropathic Joints. Semin Arthritis Rheum 2, 47-69. 1972. 31. Kidd JG. The Charcot Joint: Some pathologic and pathogenetic considerations. Southern Medical Journal 67 (5), 597-602. 1974. 32. ME Edmonds. The diabetic foot: pathophysiology and treatment. Clin Endocrinol Metab 15, 889-916. 1986. 33. Brower AC and Allman RM. Pathogenesis of the neuropathic joint; neurotraumatic versus neurovascular; histologic study of the Charcot bone. Radiology 139, 349-54. 1981. For related articles, see “Point-Counterpoint: Active Charcot: Should You Proceed With Surgery?” in the March 2005 issue of Podiatry Today or “Key Insights On Surgical Timing In Charcot Neuroarthropathy” in the April 2006 issue. Also be sure to visit the archives at www.podiatrytoday.com.
References:
CE Exam #144 Choose the single best response to each question listed below. 1) According to the author, what are two essential components to inciting neuropathic joint destruction? a) Significant sensory nerve deficit and trauma b) Significant somatic sensory nerve deficit and major trauma c) Autonomic sensory nerve deficit and major trauma d) None of the above 2) Which of the following conclusions emerged from the study by Eloesser? a) An arthritic condition followed by nerve root trauma can lead to significant neuropathic changes. b) Severing nerve roots does cause bone atrophy in some patients with Charcot. c) Neuropathic joint destruction (in that study) cannot be blamed on concomitant infection or systemic disease. d) All of the above 3) In regard to those study conclusions by Eloesser, which of the following is false? a) Trauma and the lack of pain sensation are the cause of most tabetic bone and joint lesions. b) Severing nerve roots does not result in bone atrophy. c) Osteoarthritis and subsequent nerve root trauma can cause neuropathic joint changes. d) None of the above 4) In their histological studies on the effects of nerve damage on bone healing in rat models, Retief and Dreyer … a) … completely agreed with the findings from the Eloesser study. b) … showed that bone healing was adversely affected by local nerve damage. c) … found no correlation between the degree of neural damage and the degree of healing disturbance. d) All of the above 5) In the clinical exam, an acute Charcot flare is characterized by … a) ... marked edema. b) ... calor from 2 to 7 degrees in comparison to the contralateral limb. c) ... calor from 8 to 12 degrees in comparison to the contralateral limb. d) a and b 6) In regard to cheiroarthropathy, which of the following statements is false? a) It is the glycosylation of soft tissues that causes joint stability and immobility in patients with diabetes. b) This soft tissue glycosylation is not proportionate to the severity of the patient’s diabetes. c) One can predict cheiroarthropathy based upon hemoglobin A1c levels. d) None of the above 7) Ligamentous laxity … a) ... is the earliest sign of neuropathic joint disease according to a proposed theory by Newman. b) ... is a key characteristic of Stage III Charcot according to Eichenholz. c) ... can lead to fractures if it is left unchecked. d) a and c 8) When it comes to hypertrophic bone destruction in neuropathic joints, one will see … a) … it typically in the upper extremities. b) … cortical erosions, joint space narrowing and cystic degeneration among other changes. c) ... rarely see this in the Lisfranc joint. d) All of the above 9) According to the author, there is a general consensus that clinicians should address the onset of Charcot … a) … by having the patient wear a removable cast walker. b) … with external bone stimulation. c) … via immobilization and complete offloading of the affected joint until there is evidence of stabilization and bone consolidation. d) None of the above Instructions for Submitting Exams Fill out the enclosed card that appears on the following page or fax the form to the NACCME at (610) 560-0502. Within 60 days, you will be advised that you have passed or failed the exam. A score of 70 percent or above will comprise a passing grade. A certificate will be awarded to participants who successfully complete the exam. Responses will be accepted up to 12 months from the publication date.


