False Left Ventricular Apical Aneurysm — A Rare Complication After Transapical Aortic Valve Replacement
Abstract: We report on a case of a false aneurysm at the access site after transapical aortic valve replacement. Although this is not the first case report about this issue, our case emphasizes the importance of follow-up echocardiography after transapical aortic valve replacement that focuses not only on prosthesis function, but also on detecting probable complications of the surgical access site.
J INVASIVE CARDIOL 2011;23(12):534-535
Key words: false aneurysm, three-dimensional echocardiography, transapical aortic valve replacement
______________________________________
Case Description
An 81-year-old female patient with severe symptomatic aortic valve stenosis was admitted to our surgical department for aortic valve replacement. Preoperative coronary angiography revealed no significant coronary stenosis.
Due to impaired renal function, age, and general condition, a 23 mm Edwards Sapien pericardial xenograft (Edwards Lifesciences) was implanted via the minimally invasive transapical approach. Access closure was performed with a box stitch using two pledgets. No residual bleeding occurred.
The valve implantation procedure was successful, and the patient could be discharged home after 20 days. Postoperatively, a routine echocardiogram was performed and showed normal prosthesis function, and good systolic left ventricular function without any pathological findings.
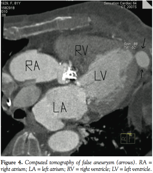
Transthoracic echocardiography one month after the impantation demonstrated a normal function of the prosthesis (13/9 mm Hg), no relevant valvular or paravalvular regurgitation, and a good systolic function of the left ventricle (ejection fraction, 65%; biplane Simpsons method). However, a perforation with a false aneurysm at the apex of the left ventricle could be seen (Figures 1 and 2).
Real-time three-dimensional echocardiography demonstrated a perforation at the apex of the left ventricle at the surgical access site with the false aneurysm measuring 24 mm in diameter. Blood flow through this perforation could be demonstrated with color Doppler (Figure 3).
Computed tomography confirmed the echocardiographic findings with contrast enhancement of the false aneurysm in the early arterial phase (P4). Involvement of coronary arteries, especially the left anterior descending coronary artery, could not be found. A conservative observational management was performed, as the asymptomatic patient refused a surgical correction.
Although this is not the first case report dealing with this issue, we want to point out that echocardiography for follow-up after transapical aortic valve replacement should not only focus on prosthesis function, but also on detecting probable complications of the surgical access site. Recognizing the existence of such complications contributes to potential solutions to avoid or treat them.
A strategy to avoid this complication could be different suture techniqes, such as purse string, or the development of devices specially designed for the closure of the transapical access site.
______________________________________
From the Cardiovascular Division, General Hospital Linz, Linz, Austria.
Disclosure: The authors have completed and returned the ICMJE Form for Disclosure of Potential Conflicts of Interest. The authors report no conflicts of interest regarding the content herein.
Manuscript submitted August 16, 2011, provisional acceptance given September 12, 2011, final version accepted September 27, 2011.
Address for correspondence: Juergen Kammler, MD, Cardiovascular Division, General Hospital Linz, Krankenhausstr. 9, 4020 Linz, Austria. Email: juergen.kammler@akh.linz.at


