Skip to main content

Atrial Fibrillation Topic Center

Featured

Original Contribution
01/12/2026
Jonas Leavitt, BS; Dimitrios Varrias, MD; Christopher Gasparis, MD; Elliot Wolf, BA; Stefanos Zafeiropoulos, MD; Ari Zimmer, MD; Laurence M. Epstein, MD; Kristie M. Coleman, MPH, RN; Stavros E. Mountantonakis, MD, MBA
Using machine learning, the authors created a predictive tool to allow for individualized risk prediction for long-term atrial fibrillation recurrence following catheter ablation.
Using machine learning, the authors created a predictive tool to allow for individualized risk prediction for long-term atrial fibrillation recurrence following catheter ablation.
Using machine learning, the...
01/12/2026
Journal of Invasive Cardiology
JIC logo
TCT Conference Coverage
11/10/2025
Laura Simson, MA
In this TCT 2025 session, Dr Vivek Y. Reddy presented findings from the HFIB series exploring the role of renal denervation as an adjunct to AF ablation.
In this TCT 2025 session, Dr Vivek Y. Reddy presented findings from the HFIB series exploring the role of renal denervation as an adjunct to AF ablation.
In this TCT 2025 session, Dr...
11/10/2025
Journal of Invasive Cardiology
Sponsored Content
10/17/2025
Chetan Huded, MD
The Journal of Invasive Cardiology speaks with Chetan Huded, MD, about his experience with the WATCHMAN device (Boston Scientific).
The Journal of Invasive Cardiology speaks with Chetan Huded, MD, about his experience with the WATCHMAN device (Boston Scientific).
The Journal of Invasive...
10/17/2025
Journal of Invasive Cardiology
Clinical Images
09/24/2025
Gregory Offiah, MB, BAO, BCh; Ciara Mahon, MB, MAO, BCh; James Shand, MBBS, MD, FRCP
An 83-year-old man with a history of atrial fibrillation presented with a subdural hematoma. His apixaban was stopped and a pacemaker was implanted.
An 83-year-old man with a history of atrial fibrillation presented with a subdural hematoma. His apixaban was stopped and a pacemaker was implanted.
An 83-year-old man with a...
09/24/2025
Journal of Invasive Cardiology
Feature Interview
09/08/2025
Marco Perez, MD; Jodie Elrod
EP Lab Digest speaks with Dr Perez to discuss his moderated session entitled “Non-Watch Wearables in Cardiovascular Care” at HRX 2025, exploring his insights on clinical integration, challenges, and future applications in clinical practice.
EP Lab Digest speaks with Dr Perez to discuss his moderated session entitled “Non-Watch Wearables in Cardiovascular Care” at HRX 2025, exploring his insights on clinical integration, challenges, and future applications in clinical practice.
EP Lab Digest speaks with Dr...
09/08/2025
EP Lab Digest
From EP Lab Digest
Letter from the Editor
09/01/2025
Bradley P. Knight, MD, FACC, FHRS
Evaluation for transcatheter tricuspid valve replacement provides an important opportunity to reassess the management of atrial fibrillation.
Evaluation for transcatheter tricuspid valve replacement provides an important opportunity to reassess the management of atrial fibrillation.
Evaluation for transcatheter...
09/01/2025
EP Lab Digest
From EP Lab Digest
Feature Story
07/02/2025
Jonathan Shirazi, MD; Shamir Haji, MD
Cryptogenic stroke presents a diagnostic challenge that demands seamless interdisciplinary collaboration to identify underlying etiologies and optimize patient outcomes.
Cryptogenic stroke presents a diagnostic challenge that demands seamless interdisciplinary collaboration to identify underlying etiologies and optimize patient outcomes.
Cryptogenic stroke presents a...
07/02/2025
EP Lab Digest
From EP Lab Digest
Brief Communication
06/18/2025
Marco Frazzetto, MD, MSc; Luis Augusto Palma Dallan, MD, PhD; Pedro Soares Texeira, MD; Philippe Taieb, MD; Julia Tirelli, MD; Rafey Feroze, MD; Nawaf Alhabdan, MD; Alexander Cove, MD; Yusef Saeed, MD; Anene Ukaigwe, MD; Guilherme Attizzani, MD; Steven J. Filby, MD
This study evaluates the procedural outcomes and short-term follow-up of the WATCHMAN FLX Pro left atrial appendage occlusion (LAAO) device (Boston Scientific) using the EXPRESS-LAAO protocol at a high-volume center.
This study evaluates the procedural outcomes and short-term follow-up of the WATCHMAN FLX Pro left atrial appendage occlusion (LAAO) device (Boston Scientific) using the EXPRESS-LAAO protocol at a high-volume center.
This study evaluates the...
06/18/2025
Journal of Invasive Cardiology
JIC logo
Quiz
06/17/2025
Ronald N. Rubin, MD
Test your knowledge on this case of a previously healthy 58-year-old man who presented to the clinician’s office with a sensation of intermittent palpitations of about 1 week’s duration.
Test your knowledge on this case of a previously healthy 58-year-old man who presented to the clinician’s office with a sensation of intermittent palpitations of about 1 week’s duration.
Test your knowledge on this case...
06/17/2025
Journal of Invasive Cardiology
Spotlight Interview
06/01/2025
Matthew Evans, MD
In this month’s Spotlight Interview, EP Lab Digest highlights the EP program at Baylor Scott & White The Heart Hospital Denton in Denton, Texas.
In this month’s Spotlight Interview, EP Lab Digest highlights the EP program at Baylor Scott & White The Heart Hospital Denton in Denton, Texas.
In this month’s Spotlight...
06/01/2025
EP Lab Digest
From EP Lab Digest
Original Contribution
05/17/2025
Nicolas Majunke, MD; Hamza El Hadi, MD, PhD; Steffen Desch, MD; Tobias Kister, MD; Maria Buske, MD; Natalie Fischer, MD; Katharina Kirsch, MD; Janine Pöss, MD; Holger Thiele, MD; Marcus Sandri, MD
The study evaluated the impact of left ventricular ejection fraction on periprocedural complications and long-term thromboembolic events in patients with non-valvular atrial fibrillation treated with interventional left atrial appendage...
The study evaluated the impact of left ventricular ejection fraction on periprocedural complications and long-term thromboembolic events in patients with non-valvular atrial fibrillation treated with interventional left atrial appendage...
The study evaluated the impact...
05/17/2025
Journal of Invasive Cardiology

Clinical Images

Clinical Images
11/21/2025
Leili Pourafkari, MD; Jeong Hwan J. Kim, MD; Jonathan Lalezari, MD; Ali Sovari, MD
The authors report the case of an 88-year-old woman with paroxysmal atrial fibrillation, sick sinus syndrome status post-permanent dual chamber pacemaker, elevated thromboembolic risk, severe aortic stenosis, and a history of bleeding that...
The authors report the case of an 88-year-old woman with paroxysmal atrial fibrillation, sick sinus syndrome status post-permanent dual chamber pacemaker, elevated thromboembolic risk, severe aortic stenosis, and a history of bleeding that...
The authors report the case of...
11/21/2025
Journal of Invasive Cardiology
Clinical Images
11/20/2025
Shivam Arora, MD; Neha Chopra, MD, DM; Shitij Chaudhary, MD, DM
A 50-year-old woman presented to our center with the complaints of breathlessness on exertion for the last 2 years. On evaluation, she was diagnosed with rheumatic heart disease with severe calcific mitral stenosis.
A 50-year-old woman presented to our center with the complaints of breathlessness on exertion for the last 2 years. On evaluation, she was diagnosed with rheumatic heart disease with severe calcific mitral stenosis.
A 50-year-old woman presented to...
11/20/2025
Journal of Invasive Cardiology
Clinical Images
10/09/2025
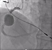
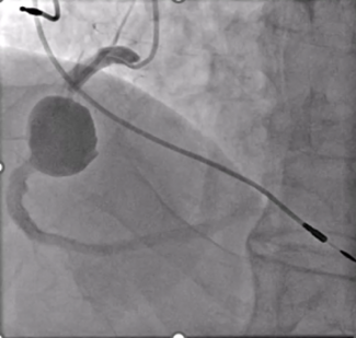
Konstantinos A. Manousopoulos, MD, PhD; Panagiotis Varelas, MD; Petros Dardas, MD; Nikolaos Mezilis, MD; Ioannis Tsiafoutis, MD, PhD
The authors present the successful percutaneous exclusion of a giant right coronary artery aneurysm in a patient with hypertension, dyslipidemia, and permanent atrial fibrillation.
The authors present the successful percutaneous exclusion of a giant right coronary artery aneurysm in a patient with hypertension, dyslipidemia, and permanent atrial fibrillation.
The authors present the...
10/09/2025
Journal of Invasive Cardiology
Clinical Images
09/26/2025
Leili Pourafkari, MD; Jeong Hwan J. Kim, MD; Ali Sovari, MD
09/26/2025
Journal of Invasive Cardiology
Clinical Images
09/24/2025
Gregory Offiah, MB, BAO, BCh; Ciara Mahon, MB, MAO, BCh; James Shand, MBBS, MD, FRCP
An 83-year-old man with a history of atrial fibrillation presented with a subdural hematoma. His apixaban was stopped and a pacemaker was implanted.
An 83-year-old man with a history of atrial fibrillation presented with a subdural hematoma. His apixaban was stopped and a pacemaker was implanted.
An 83-year-old man with a...
09/24/2025
Journal of Invasive Cardiology
Clinical Images
08/05/2025
Ioannis Papadopoulos, MD; Konstantinos Filippou, MD; Athanasios Papadopoulos, MD; Panagiotis Varelas, MD; Dafni Pitsiori, MD; Konstantinos Manousopoulos, MD, PhD; Dimitrios Karelas, MD; Theofanis Pappas, MD, PhD; Nikolaos Giannakopoulos, MD; Konstantinos Nakas, MD; Dimitra Manou, MD; Ioannis Tsiafoutis, MD, PhD
An 81-year-old woman was admitted with dyspnea and irregular heartbeat due to atrial fibrillation with a rapid ventricular response. Echocardiography showed preserved left ventricular ejection fraction, severe aortic stenosis, and moderate...
An 81-year-old woman was admitted with dyspnea and irregular heartbeat due to atrial fibrillation with a rapid ventricular response. Echocardiography showed preserved left ventricular ejection fraction, severe aortic stenosis, and moderate...
An 81-year-old woman was...
08/05/2025
Journal of Invasive Cardiology
Algayoum figure
Photoclinic
06/11/2025
The authors present a case of a woman who developed spontaneous retroperitoneal hematoma secondary to anticoagulation.
The authors present a case of a woman who developed spontaneous retroperitoneal hematoma secondary to anticoagulation.
The authors present a case of a...
06/11/2025
Journal of Invasive Cardiology
Clinical Images
06/05/2025
Styliani Mavrommati, MUDr; Argyrios Krommydas, MD, MSc; Iliona Malaspinas, PhD; Fotios Mitropoulos, PhD; Aphrodite Tzifa, PhD
A 64-year-old woman was referred for percutaneous closure of an atrial septal defect. The patient had a prior suspected episode of subacute myocardial ischemia, characterized by chest pain and electrocardiographic changes, albeit with normal...
A 64-year-old woman was referred for percutaneous closure of an atrial septal defect. The patient had a prior suspected episode of subacute myocardial ischemia, characterized by chest pain and electrocardiographic changes, albeit with normal...
A 64-year-old woman was referred...
06/05/2025
Journal of Invasive Cardiology
Clinical Images
05/14/2024

Wong Ling Na, MBChB; Mark Tam Tsz Kin, MBChB; Leo Kar Lok Lai, MBChB; Kevin Ka-ho Kam, MBChB; Alex Pui-wai Lee, MD; Chin-Pang Chan, MBChB; Joseph Yat-sun Chan, MBBS; Chak-yu So, MBChB

Wong Ling Na, MBChB; Mark Tam Tsz Kin...
The authors report a case of early left atrial appendage occlusion (LAAO) device migration following the combined procedure of pulsed-field ablation and LAAO.
The authors report a case of early left atrial appendage occlusion (LAAO) device migration following the combined procedure of pulsed-field ablation and LAAO.
The authors report a case of...
05/14/2024
Journal of Invasive Cardiology
Clinical Images
12/05/2023
Jie Zeng, MD; Cong Lu, MD; Hui Huang, MD; Qian Wang, MD; Long Zhou, MD
A 62-year-old woman with atrial fibrillation was admitted to Sichuan Provincial People’s Hospital, and radiofrequency ablation therapy was planned. After femoral venous puncture, X-ray fluoroscopy showed a slim-line shaped wire that was...
A 62-year-old woman with atrial fibrillation was admitted to Sichuan Provincial People’s Hospital, and radiofrequency ablation therapy was planned. After femoral venous puncture, X-ray fluoroscopy showed a slim-line shaped wire that was...
A 62-year-old woman with atrial...
12/05/2023
Journal of Invasive Cardiology
Clinical Images
01/09/2026
Miguel A. Martín-Arena, MD; Joaquín Vila-García, MD; Clara Ugueto-Rodrigo, MD; Cristina Contreras-Lorenzo, MD; Ricardo Martínez-González, MD; Carmen Labarta-Bello, MD; Guadalupe Buitrago Weiland, MD; Sandra Rosillo-Rodríguez, MD, PhD; Santiago Jiménez-Valero, MD; Raúl Moreno, MD, PhD
A 58-year-old man with a history of ascending aortic aneurysm repair underwent redo surgery because of severe aortic regurgitation. A mechanical valved conduit and a hemi-Cabrol graft from the left main coronary artery to the prosthetic...
A 58-year-old man with a history of ascending aortic aneurysm repair underwent redo surgery because of severe aortic regurgitation. A mechanical valved conduit and a hemi-Cabrol graft from the left main coronary artery to the prosthetic...
A 58-year-old man with a history...
01/09/2026
Journal of Invasive Cardiology
Clinical Images
01/06/2026
Guste Cesnaite, MD; Ugne Stulpinaite, MD; Sigitas Cesna, MD, PhD
The authors report the case of a 9-year-old boy with repaired tetralogy of Fallot who underwent complete surgical correction with a GORE-TEX Cardiovascular Patch (W. L. Gore & Associates, Inc.) at 5 months old.
The authors report the case of a 9-year-old boy with repaired tetralogy of Fallot who underwent complete surgical correction with a GORE-TEX Cardiovascular Patch (W. L. Gore & Associates, Inc.) at 5 months old.
The authors report the case of a...
01/06/2026
Journal of Invasive Cardiology
Clinical Images
01/06/2026
Şevval Ilke Ebeoğlu, MD; Abdullah Ömer Ebeoğlu, MD; İpek Aydın, MD; Ömer Doğan, MD; Okay Abacı, MD
The authors present a case of carotid blowout syndrome secondary to nasopharyngeal carcinoma successfully treated by an interventional cardiology team.
The authors present a case of carotid blowout syndrome secondary to nasopharyngeal carcinoma successfully treated by an interventional cardiology team.
The authors present a case of...
01/06/2026
Journal of Invasive Cardiology
Clinical Images
01/06/2026
Neha Chopra, MD, DM; Sourabh Agstam, MD, DM, MRCP; Devesh Kumar, MD, DM, MRCP; Surbhit Bhadauria, MD; Anwar Hussain Ansari, MD, DM
A 46-year-old man with inferior wall myocardial infarction with complete heart block underwent primary percutaneous coronary intervention to the right coronary artery with temporary pacing. Twelve hours later, he developed sudden-onset...
A 46-year-old man with inferior wall myocardial infarction with complete heart block underwent primary percutaneous coronary intervention to the right coronary artery with temporary pacing. Twelve hours later, he developed sudden-onset...
A 46-year-old man with inferior...
01/06/2026
Journal of Invasive Cardiology
Clinical Images
01/06/2026
Leire Unzué, MD, PhD; Lorena Martín-Polo, PhD, MD; Ángel González-Pinto, MD, PhD
An 81-year-old woman was admitted for heart failure in the context of degenerative valvular disease; she had previously undergone mitral and aortic valve replacement with bioprostheses and tricuspid annuloplasty.
An 81-year-old woman was admitted for heart failure in the context of degenerative valvular disease; she had previously undergone mitral and aortic valve replacement with bioprostheses and tricuspid annuloplasty.
An 81-year-old woman was...
01/06/2026
Journal of Invasive Cardiology
Clinical Images
12/29/2025
Kwok-Ho Yau, MBBS; Tin Wah Christopher Lau, MBBS; Justin Ka-Ho Wong, MBBS; Kin-Lam Tsui, MBBS, FACC
An 81-year-old man with hypertension presented with worsening exertional angina. Coronary computed tomography angiography showed diffuse calcification and stenosis in the right coronary artery.
An 81-year-old man with hypertension presented with worsening exertional angina. Coronary computed tomography angiography showed diffuse calcification and stenosis in the right coronary artery.
An 81-year-old man with...
12/29/2025
Journal of Invasive Cardiology
Clinical Images
12/29/2025
Kwok-Ho Yau, MBBS; Tin-Yau Chan, MBBS; Kwok-Keung Chan, MBBS
A 65-year-old man with complete heart block presented with syncope. He refused a transvenous pacemaker and accepted only a leadless device.
A 65-year-old man with complete heart block presented with syncope. He refused a transvenous pacemaker and accepted only a leadless device.
A 65-year-old man with complete...
12/29/2025
Journal of Invasive Cardiology
Clinical Images
12/29/2025
Konstantinos Stathogiannis, MD, FACC; Michael Chrissoheris, MD; Kyriakos Katsianos, MD; Vivi Grammata, MD; Alexis Dimas, MD; Konstantinos Spargias, MD
An 81-year-old woman with prior surgical aortic valve replacement presented with progressive dyspnea . Echocardiography showed severe bioprosthetic aortic stenosis with mild paravalvular leak and preserved ejection fraction.
An 81-year-old woman with prior surgical aortic valve replacement presented with progressive dyspnea . Echocardiography showed severe bioprosthetic aortic stenosis with mild paravalvular leak and preserved ejection fraction.
An 81-year-old woman with prior...
12/29/2025
Journal of Invasive Cardiology
Clinical Images
12/22/2025
Jason H. Anderson, MD; Kaitlyn Krebushevski, MD; Allison K. Cabalka, MD; Abigail M. Sutter, PA-C; Nathaniel W. Taggart, MD; Pradyumna Agasthi, MD
Simple modification to the GORE TAG Extender delivery system (W.L. Gore & Associates) enables sleeve deployment with the graft, improving stability in congenital heart disease interventions.
Simple modification to the GORE TAG Extender delivery system (W.L. Gore & Associates) enables sleeve deployment with the graft, improving stability in congenital heart disease interventions.
Simple modification to the GORE...
12/22/2025
Journal of Invasive Cardiology
Clinical Images
12/03/2025
Devesh Kumar, MD, MRCP, DM; Anil Kumar Choudhary, MD, DM; Neeraj Rao, MBBS, MD; Jai Purohit, MD, DM; Somyata Somendra, MD, DM
A 25-year-old man presented with 3 episodes of flash pulmonary edema in the past 2 months. Despite being on 4 antihypertensives, his blood pressure was 200/140 mm Hg.
A 25-year-old man presented with 3 episodes of flash pulmonary edema in the past 2 months. Despite being on 4 antihypertensives, his blood pressure was 200/140 mm Hg.
A 25-year-old man presented with...
12/03/2025
Journal of Invasive Cardiology

Videos

Sovari Figure 1
Clinical Videos
11/21/2025
Leili Pourafkari, MD; Jeong Hwan J. Kim, MD; Jonathan Lalezari, MD; Ali Sovari, MD
Video Supplement to "Hybrid Left Atrial Appendage Exclusion Management: WATCHMAN After AtriClip" (Clinical Image).
Video Supplement to "Hybrid Left Atrial Appendage Exclusion Management: WATCHMAN After AtriClip" (Clinical Image).
Video Supplement to "Hybrid Left...
11/21/2025
Journal of Invasive Cardiology
Chaudhary Figure AB
Clinical Videos
11/20/2025
Shivam Arora, MD; Neha Chopra, MD, DM; Shitij Chaudhary, MD, DM
Video Supplement to "Webs and Lakes in the Heart: The Forgotten Image" (Clinical Image).
Video Supplement to "Webs and Lakes in the Heart: The Forgotten Image" (Clinical Image).
Video Supplement to "Webs and...
11/20/2025
Journal of Invasive Cardiology
Mehmet screenshot
TCT Conference Coverage
11/07/2025
Mehmet Cilingiroglu, MD
In this video from TCT 2025, JIC speaks with editorial board member Mehmet Cilingiroglu, MD, about his study on atrial fibrillation treatment in patients with cancer.
In this video from TCT 2025, JIC speaks with editorial board member Mehmet Cilingiroglu, MD, about his study on atrial fibrillation treatment in patients with cancer.
In this video from TCT 2025, JIC...
11/07/2025
Journal of Invasive Cardiology
Manousopoulos Figure 1
Clinical Videos
10/09/2025
Konstantinos A. Manousopoulos, MD, PhD; Panagiotis Varelas, MD; Petros Dardas, MD; Nikolaos Mezilis, MD; Ioannis Tsiafoutis, MD, PhD
Video Supplement to "Percutaneous Closure of a Giant Coronary Artery Aneurysm: A Case Summary" (Clinical Image).
Video Supplement to "Percutaneous Closure of a Giant Coronary Artery Aneurysm: A Case Summary" (Clinical Image).
Video Supplement to...
10/09/2025
Journal of Invasive Cardiology
Sovari Figure 1
Clinical Videos
09/26/2025
Leili Pourafkari, MD; Jeong Hwan J. Kim, MD; Ali Sovari, MD
Video Supplement to "Leadless Pacemaker Placement Through the Subclavian Vein: An Alternative to the Femoral Route" (Clinical Image).
Video Supplement to "Leadless Pacemaker Placement Through the Subclavian Vein: An Alternative to the Femoral Route" (Clinical Image).
Video Supplement to "Leadless...
09/26/2025
Journal of Invasive Cardiology
Offiah Figure
Clinical Videos
09/24/2025
Gregory Offiah, MB, BAO, BCh; Ciara Mahon, MB, MAO, BCh; James Shand, MBBS, MD, FRCP
Video Supplement to "A Kissing WATCHMAN Approach to Bilobar Left Atrial Appendage Occlusion" (Clinical Image).
Video Supplement to "A Kissing WATCHMAN Approach to Bilobar Left Atrial Appendage Occlusion" (Clinical Image).
Video Supplement to "A Kissing...
09/24/2025
Journal of Invasive Cardiology
Filippou Figure 1
Clinical Videos
08/05/2025
Ioannis Papadopoulos, MD; Konstantinos Filippou, MD; Athanasios Papadopoulos, MD; Panagiotis Varelas, MD; Dafni Pitsiori, MD; Konstantinos Manousopoulos, MD, PhD; Dimitrios Karelas, MD; Theofanis Pappas, MD, PhD; Nikolaos Giannakopoulos, MD; Konstantinos Nakas, MD; Dimitra Manou, MD; Ioannis Tsiafoutis, MD, PhD
Video Supplement to "Large Radial Artery Pseudoaneurysm Following Diagnostic Coronary Angiography".
Video Supplement to "Large Radial Artery Pseudoaneurysm Following Diagnostic Coronary Angiography".
Video Supplement to "Large...
08/05/2025
Journal of Invasive Cardiology
Tzifa Figure
Clinical Videos
06/05/2025
Styliani Mavrommati, MUDr; Argyrios Krommydas, MD, MSc; Iliona Malaspinas, PhD; Fotios Mitropoulos, PhD; Aphrodite Tzifa, PhD
Video Supplement to "Unusual Thrombus Formation on the Eustachian Valve During Transcatheter Atrial Septal Defect Closure" (Clinical Image).
Video Supplement to "Unusual Thrombus Formation on the Eustachian Valve During Transcatheter Atrial Septal Defect Closure" (Clinical Image).
Video Supplement to "Unusual...
06/05/2025
Journal of Invasive Cardiology
Saw image
SCAI Scientific Sessions
05/09/2025
Jacqueline Saw, MD
In this video from the 2025 SCAI Scientific Sessions, JIC speaks with Dr. Jacqueline Saw about the year’s major developments in left atrial appendage occlusion and stroke prevention, along with her most anticipated upcoming trials.
In this video from the 2025 SCAI Scientific Sessions, JIC speaks with Dr. Jacqueline Saw about the year’s major developments in left atrial appendage occlusion and stroke prevention, along with her most anticipated upcoming trials.
In this video from the 2025 SCAI...
05/09/2025
Journal of Invasive Cardiology
Ramlawi image
CRT Conference Coverage
03/28/2025
Basel Ramlawi, MD
In this video from CRT 2025, JIC speaks with Dr Basel Ramlawi of the Lankenau Heart Institute about the role of epicardial left atrial appendage exclusion in atrial fibrillation stroke prevention.
In this video from CRT 2025, JIC speaks with Dr Basel Ramlawi of the Lankenau Heart Institute about the role of epicardial left atrial appendage exclusion in atrial fibrillation stroke prevention.
In this video from CRT 2025, JIC...
03/28/2025
Journal of Invasive Cardiology
Krebushevski Figure 1
Clinical Videos
01/23/2026
Kaitlyn Krebushevski, DO; Allison K. Cabalka, MD; Nathaniel W. Taggart, MD; Pradyumna Agasthi, MD; Alexander C. Egbe, MBBS; William R. Miranda, MD; Peter M. Pollak, MD; Abigail M. Sutter, PA-C; Frank Cetta, MD; Jason H. Anderson, MD
Video Supplement to "Self-Expanding Aortic Endografts for Endovascular Repair of Native and Recurrent Coarctation of the Aorta" (Original Article).
Video Supplement to "Self-Expanding Aortic Endografts for Endovascular Repair of Native and Recurrent Coarctation of the Aorta" (Original Article).
Video Supplement to...
01/23/2026
Journal of Invasive Cardiology
Martin-Arena Figure 1
Clinical Videos
01/09/2026
Miguel A. Martín-Arena, MD; Joaquín Vila-García, MD; Clara Ugueto-Rodrigo, MD; Cristina Contreras-Lorenzo, MD; Ricardo Martínez-González, MD; Carmen Labarta-Bello, MD; Guadalupe Buitrago Weiland, MD; Sandra Rosillo-Rodríguez, MD, PhD; Santiago Jiménez-Valero, MD; Raúl Moreno, MD, PhD
Video Supplement to "Very Late Thrombosis of a Hemi-Cabrol Coronary Graft: A Rare Cause of Cardiogenic Shock" (Clinical Image).
Video Supplement to "Very Late Thrombosis of a Hemi-Cabrol Coronary Graft: A Rare Cause of Cardiogenic Shock" (Clinical Image).
Video Supplement to "Very Late...
01/09/2026
Journal of Invasive Cardiology
Stulpinaite Figure
Clinical Videos
01/06/2026
Guste Cesnaite, MD; Ugne Stulpinaite, MD; Sigitas Cesna, MD, PhD
Video Supplement to "Adaptive Use of a Large-Bore Sheath to Access the Right Ventricular Outflow Tract in a Pediatric Patient" (Clinical Image).
Video Supplement to "Adaptive Use of a Large-Bore Sheath to Access the Right Ventricular Outflow Tract in a Pediatric Patient" (Clinical Image).
Video Supplement to "Adaptive...
01/06/2026
Journal of Invasive Cardiology
Ebeoglu Figure
Clinical Videos
01/06/2026
Şevval Ilke Ebeoğlu, MD; Abdullah Ömer Ebeoğlu, MD; İpek Aydın, MD; Ömer Doğan, MD; Okay Abacı, MD
Video Supplement to "Expanding the Role of Interventional Cardiology: Covered Stent Rescue of Carotid Blowout Syndrome Secondary to Nasopharyngeal Carcinoma" (Clinical Image).
Video Supplement to "Expanding the Role of Interventional Cardiology: Covered Stent Rescue of Carotid Blowout Syndrome Secondary to Nasopharyngeal Carcinoma" (Clinical Image).
Video Supplement to "Expanding...
01/06/2026
Journal of Invasive Cardiology
Kumar Figure
Clinical Videos
01/06/2026
Neha Chopra, MD, DM; Sourabh Agstam, MD, DM, MRCP; Devesh Kumar, MD, DM, MRCP; Surbhit Bhadauria, MD; Anwar Hussain Ansari, MD, DM
Video Supplement to "Inadvertent Hepatic Vein Puncture During Emergent Pericardiocentesis" (Clinical Image).
Video Supplement to "Inadvertent Hepatic Vein Puncture During Emergent Pericardiocentesis" (Clinical Image).
Video Supplement to "Inadvertent...
01/06/2026
Journal of Invasive Cardiology
Unzue Figure 1
Clinical Videos
01/06/2026
Leire Unzué, MD, PhD; Lorena Martín-Polo, PhD, MD; Ángel González-Pinto, MD, PhD
Video Supplement to "Off‑Label Use of a Ventricular Septal Defect Occluder for Large Mitral Paravalvular Leak in the Early Postoperative Period: A Case Report" (Clinical Image).
Video Supplement to "Off‑Label Use of a Ventricular Septal Defect Occluder for Large Mitral Paravalvular Leak in the Early Postoperative Period: A Case Report" (Clinical Image).
Video Supplement to "Off‑Label...
01/06/2026
Journal of Invasive Cardiology
Yau Figure 1
Clinical Videos
12/29/2025
Kwok-Ho Yau, MBBS; Tin Wah Christopher Lau, MBBS; Justin Ka-Ho Wong, MBBS; Kin-Lam Tsui, MBBS, FACC
Video Supplement to "Ventricular Fibrillation as a Manifestation of Delayed Distal Coronary Perforation Induced by High Blood Pressure" (Clinical Image).
Video Supplement to "Ventricular Fibrillation as a Manifestation of Delayed Distal Coronary Perforation Induced by High Blood Pressure" (Clinical Image).
Video Supplement to "Ventricular...
12/29/2025
Journal of Invasive Cardiology
Yau Figure 1
Clinical Videos
12/29/2025
Kwok-Ho Yau, MBBS; Tin-Yau Chan, MBBS; Kwok-Keung Chan, MBBS
Video Supplement to "Finding the Optimal Pacing Threshold and Avoiding Multiple Deployments of the Micra Device Using Temporary Venous Pacing Mapping" (Clinical Image).
Video Supplement to "Finding the Optimal Pacing Threshold and Avoiding Multiple Deployments of the Micra Device Using Temporary Venous Pacing Mapping" (Clinical Image).
Video Supplement to "Finding the...
12/29/2025
Journal of Invasive Cardiology
Stathogiannis Figure
Clinical Videos
12/29/2025
Konstantinos Stathogiannis, MD, FACC; Michael Chrissoheris, MD; Kyriakos Katsianos, MD; Vivi Grammata, MD; Alexis Dimas, MD; Konstantinos Spargias, MD
Video Supplement to "BASILICA With Adjunctive Coronary Protection Enabling Valve-in-Valve Transcatheter Aortic Valve Implantation" (Clinical Image).
Video Supplement to "BASILICA With Adjunctive Coronary Protection Enabling Valve-in-Valve Transcatheter Aortic Valve Implantation" (Clinical Image).
Video Supplement to "BASILICA...
12/29/2025
Journal of Invasive Cardiology
Rodes-Cabau headshot
Author Interview
12/23/2025
Josep Rodés-Cabau, MD, PhD
Dr Rodés-Cabau shares background and insights on his article, "Long-Term Outcomes After Transcatheter Tricuspid Valve-in-Valve Replacement."
Dr Rodés-Cabau shares background and insights on his article, "Long-Term Outcomes After Transcatheter Tricuspid Valve-in-Valve Replacement."
Dr Rodés-Cabau shares background...
12/23/2025
Journal of Invasive Cardiology

Podcasts

Podcasts
04/21/2025
Nishtha Sareen, MD, MPH, FACC, FSCAI
EPLD talks with Nishtha Sareen, MD, MPH, FACC, FSCAI, about challenges in cardiovascular care for women, gaps in knowledge, and more.
EPLD talks with Nishtha Sareen, MD, MPH, FACC, FSCAI, about challenges in cardiovascular care for women, gaps in knowledge, and more.
EPLD talks with Nishtha Sareen,...
04/21/2025
EP Lab Digest
Podcasts
02/07/2025
Bibhu D. Mohanty, MD; Elizabeth Schetina, BSN, RN
EP Lab Digest highlights Tampa General Hospital’s NeuroCardiac Program, a unique, collaborative approach to patient care that is shaping the future of heart-brain health.
EP Lab Digest highlights Tampa General Hospital’s NeuroCardiac Program, a unique, collaborative approach to patient care that is shaping the future of heart-brain health.
EP Lab Digest highlights Tampa...
02/07/2025
EP Lab Digest
Podcasts
01/10/2025
Nassir F. Marrouche, MD; Bradley P. Knight, MD, FACC, FHRS
In this episode, EP Lab Digest features a discussion with Bradley Knight, MD, and Nassir Marrouche, MD, about the upcoming Western Atrial Fibrillation Symposium, taking place February 27-March 1, 2025, in Salt Lake City, Utah. 
In this episode, EP Lab Digest features a discussion with Bradley Knight, MD, and Nassir Marrouche, MD, about the upcoming Western Atrial Fibrillation Symposium, taking place February 27-March 1, 2025, in Salt Lake City, Utah. 
In this episode, EP Lab...
01/10/2025
EP Lab Digest
Deepak L. Bhatt, MD, MPH, and Nassir Marrouche, MD
Podcasts
09/13/2023
Jodie Elrod
Nassir Marrouche, MD, talks with Deepak L. Bhatt, MD, MPH, about how the Western AF Symposium includes opportunities for interventional cardiologists.
Nassir Marrouche, MD, talks with Deepak L. Bhatt, MD, MPH, about how the Western AF Symposium includes opportunities for interventional cardiologists.
Nassir Marrouche, MD, talks with...
09/13/2023
Journal of Invasive Cardiology
Podcasts
04/21/2025
Nishtha Sareen, MD, MPH, FACC, FSCAI
EPLD talks with Nishtha Sareen, MD, MPH, FACC, FSCAI, about challenges in cardiovascular care for women, gaps in knowledge, and more.
EPLD talks with Nishtha Sareen, MD, MPH, FACC, FSCAI, about challenges in cardiovascular care for women, gaps in knowledge, and more.
EPLD talks with Nishtha Sareen,...
04/21/2025
EP Lab Digest
Podcasts
02/07/2025
Bibhu D. Mohanty, MD; Elizabeth Schetina, BSN, RN
EP Lab Digest highlights Tampa General Hospital’s NeuroCardiac Program, a unique, collaborative approach to patient care that is shaping the future of heart-brain health.
EP Lab Digest highlights Tampa General Hospital’s NeuroCardiac Program, a unique, collaborative approach to patient care that is shaping the future of heart-brain health.
EP Lab Digest highlights Tampa...
02/07/2025
EP Lab Digest
Podcasts
01/10/2025
Nassir F. Marrouche, MD; Bradley P. Knight, MD, FACC, FHRS
In this episode, EP Lab Digest features a discussion with Bradley Knight, MD, and Nassir Marrouche, MD, about the upcoming Western Atrial Fibrillation Symposium, taking place February 27-March 1, 2025, in Salt Lake City, Utah. 
In this episode, EP Lab Digest features a discussion with Bradley Knight, MD, and Nassir Marrouche, MD, about the upcoming Western Atrial Fibrillation Symposium, taking place February 27-March 1, 2025, in Salt Lake City, Utah. 
In this episode, EP Lab...
01/10/2025
EP Lab Digest
JIC Podcast Logo
Podcasts
09/13/2023
The JIC Podcast is the official podcast of the Journal of Invasive Cardiology. The Journal of Invasive Cardiology (JIC) is a peer-reviewed scientific medical journal serving clinicians who treat cardiovascular disease.
The JIC Podcast is the official podcast of the Journal of Invasive Cardiology. The Journal of Invasive Cardiology (JIC) is a peer-reviewed scientific medical journal serving clinicians who treat cardiovascular disease.
The JIC Podcast is the official...
09/13/2023
Journal of Invasive Cardiology
Deepak L. Bhatt, MD, MPH, and Nassir Marrouche, MD
Podcasts
09/13/2023
Jodie Elrod
Nassir Marrouche, MD, talks with Deepak L. Bhatt, MD, MPH, about how the Western AF Symposium includes opportunities for interventional cardiologists.
Nassir Marrouche, MD, talks with Deepak L. Bhatt, MD, MPH, about how the Western AF Symposium includes opportunities for interventional cardiologists.
Nassir Marrouche, MD, talks with...
09/13/2023
Journal of Invasive Cardiology
Drs Bhatt and Sharma
Podcasts
03/09/2023
Samin K. Sharma, MD, FACC, FSCAI; Deepak L. Bhatt, MD, MPH, FACC, FAHA, FESC, MSCAI
03/09/2023
Journal of Invasive Cardiology
Dr Bhatt
Podcast
02/01/2023
Deepak L. Bhatt, MD, MPH, FACC, FAHA, FESC, MSCAI
Deepak Bhatt, MD, MPH, JIC Editor-in-Chief, selects the most notable articles from JIC 2022.
Deepak Bhatt, MD, MPH, JIC Editor-in-Chief, selects the most notable articles from JIC 2022.
Deepak Bhatt, MD, MPH, JIC...
02/01/2023
Journal of Invasive Cardiology
Bhatt and Wang
Podcast
12/05/2022
Dee Dee Wang, MD; Deepak L. Bhatt, MD, MPH, FACC, FAHA, FESC, MSCAI
In this interview, Drs Bhatt and Wang discuss the Door-To-Unload (DTU)-STEMI pilot trial, set up to evaluate the safety and feasibility of LV unloading and delayed reperfusion in patients with STEMI.
In this interview, Drs Bhatt and Wang discuss the Door-To-Unload (DTU)-STEMI pilot trial, set up to evaluate the safety and feasibility of LV unloading and delayed reperfusion in patients with STEMI.
In this interview, Drs Bhatt and...
12/05/2022
Journal of Invasive Cardiology
Bhatt and Brilakis
Podcast
11/07/2022
Emmanouil S. Brilakis, MD, PhD, FACC, FAHA, FESC, FSCAI; Deepak L. Bhatt, MD, MPH, FACC, FAHA, FESC, MSCAI
Emmanouil Brilakis discusses the largest meta-analysis to date investigating the impact of CTO-PCI on clinical events during long-term follow-up. The analysis (Simsek et al), included 58 publications containing a total of 45,527 who underwent...
Emmanouil Brilakis discusses the largest meta-analysis to date investigating the impact of CTO-PCI on clinical events during long-term follow-up. The analysis (Simsek et al), included 58 publications containing a total of 45,527 who underwent...
Emmanouil Brilakis discusses the...
11/07/2022
Journal of Invasive Cardiology
Bhatt and Brilakis
Podcast
11/07/2022
Emmanouil S. Brilakis, MD, PhD, FACC, FAHA, FESC, FSCAI; Deepak L. Bhatt, MD, MPH, FACC, FAHA, FESC, MSCAI
Deepak Bhatt, MD, MPH, Editor-in-Chief of the Journal of Invasive Cardiology (JIC), and Emmanouil Brilakis discuss coronary perforation, a rare but potentially life-threatening complication of PCI.
Deepak Bhatt, MD, MPH, Editor-in-Chief of the Journal of Invasive Cardiology (JIC), and Emmanouil Brilakis discuss coronary perforation, a rare but potentially life-threatening complication of PCI.
Deepak Bhatt, MD, MPH,...
11/07/2022
Journal of Invasive Cardiology

News

PAD + AF
11/11/2025
“This is a stark reminder that PAD is not just a limb-threatening disease – it’s a marker of widespread atherosclerosis,” said Viet Le, DMSc, MPAS, PA-C, an advanced practice clinician and cardiovascular researcher at Intermountain Health and...
“This is a stark reminder that PAD is not just a limb-threatening disease – it’s a marker of widespread atherosclerosis,” said Viet Le, DMSc, MPAS, PA-C, an advanced practice clinician and cardiovascular researcher at Intermountain Health and...
“This is a stark reminder that...
11/11/2025
Cath Lab Digest
Mitral TEER & AFIB
07/23/2025
“AF is a powerful risk marker that we need to take into consideration when planning and performing these procedures,” says corresponding author Stamatios Lerakis, MD, PhD. M-TEER was equally successful in both groups (AF and no AF). However,...
“AF is a powerful risk marker that we need to take into consideration when planning and performing these procedures,” says corresponding author Stamatios Lerakis, MD, PhD. M-TEER was equally successful in both groups (AF and no AF). However,...
“AF is a powerful risk marker...
07/23/2025
EP Lab Digest
News
04/23/2025
The Heart Rhythm Society (HRS) releases a framework outlining criteria for establishing an Atrial Fibrillation (AF) Center of Excellence (CoE) and key operational standards to provide multidisciplinary care for AF patients.
The Heart Rhythm Society (HRS) releases a framework outlining criteria for establishing an Atrial Fibrillation (AF) Center of Excellence (CoE) and key operational standards to provide multidisciplinary care for AF patients.
The Heart Rhythm Society (HRS)...
04/23/2025
EP Lab Digest
News
03/31/2025
ESC Press Release Vienna, Austria- 31 March 2025 - New research presented at the EHRA 2025, a scientific congress of the European Society of Cardiology, shows that the presence of atrial fibrillation (AF) increases the risk of future...
ESC Press Release Vienna, Austria- 31 March 2025 - New research presented at the EHRA 2025, a scientific congress of the European Society of Cardiology, shows that the presence of atrial fibrillation (AF) increases the risk of future...
ESC Press Release Vienna,...
03/31/2025
EP Lab Digest
News
02/20/2025
Shared decision-making between clinicians and athletes of all ages who have cardiovascular abnormalities and want to participate in competitive sports is essential, according to a new joint scientific statement from the American Heart...
Shared decision-making between clinicians and athletes of all ages who have cardiovascular abnormalities and want to participate in competitive sports is essential, according to a new joint scientific statement from the American Heart...
Shared decision-making between...
02/20/2025
EP Lab Digest
News
12/04/2024
Electrophysiologists at the Texas Cardiac Arrhythmia Institute (TCAI) at St. David’s Medical Center recently became the first in the nation to use an all-in-one high-density mapping and dual energy ablation catheter for the treatment of...
Electrophysiologists at the Texas Cardiac Arrhythmia Institute (TCAI) at St. David’s Medical Center recently became the first in the nation to use an all-in-one high-density mapping and dual energy ablation catheter for the treatment of...
Electrophysiologists at the...
12/04/2024
EP Lab Digest
News
12/04/2024
BTL, a leader in medical innovation, is proud to announce a major milestone: the successful treatment of the first patients suffering from atrial fibrillation (AF) in a groundbreaking study using a next-generation catheter designed to improve...
BTL, a leader in medical innovation, is proud to announce a major milestone: the successful treatment of the first patients suffering from atrial fibrillation (AF) in a groundbreaking study using a next-generation catheter designed to improve...
BTL, a leader in medical...
12/04/2024
EP Lab Digest
News
12/04/2024
The approval will provide patients in the U.S. with a new treatment option and is an important step for AOP Health in bringing its mission to help patients and make an impact on rare diseases and critical care to the United States for the...
The approval will provide patients in the U.S. with a new treatment option and is an important step for AOP Health in bringing its mission to help patients and make an impact on rare diseases and critical care to the United States for the...
The approval will provide...
12/04/2024
EP Lab Digest
Atrial Fibrillation & Heart Failure
11/25/2024
In the study, atrial fibrillation was present in 40% of all newly diagnosed heart failure patients. Patients with both heart failure and atrial fibrillation had an increased risk of death and a subsequent heart failure hospitalization when...
In the study, atrial fibrillation was present in 40% of all newly diagnosed heart failure patients. Patients with both heart failure and atrial fibrillation had an increased risk of death and a subsequent heart failure hospitalization when...
In the study, atrial...
11/25/2024
Cath Lab Digest
News
09/03/2024
Asundexian 50 mg daily was inferior to apixaban for stroke and systemic embolism prevention in high-risk patients with atrial fibrillation (AF), according to late-breaking research presented in a Hot Line session today at ESC Congress 2024.
Asundexian 50 mg daily was inferior to apixaban for stroke and systemic embolism prevention in high-risk patients with atrial fibrillation (AF), according to late-breaking research presented in a Hot Line session today at ESC Congress 2024.
Asundexian 50 mg daily was...
09/03/2024
EP Lab Digest
AI Plaque analysis
01/21/2026
DENVER, CO – Cleerly, focused on AI-based cardiovascular imaging, announced that Aetna will begin covering Cleerly® LABS plaque analysis effective immediately. Aetna, which covers more than 20+ million lives,...
DENVER, CO – Cleerly, focused on AI-based cardiovascular imaging, announced that Aetna will begin covering Cleerly® LABS plaque analysis effective immediately. Aetna, which covers more than 20+ million lives,...
DENVER,...
01/21/2026
Cath Lab Digest
AI Plaque analysis
01/21/2026
CALGARY, Alberta -- Circle Cardiovascular Imaging Inc. (Circle CVI), focused on cardiovascular imaging post-processing, announced that clinical practices using its FDA 510(k)-cleared cvi42 with AI-enabled plaque...
CALGARY, Alberta -- Circle Cardiovascular Imaging Inc. (Circle CVI), focused on cardiovascular imaging post-processing, announced that clinical practices using its FDA 510(k)-cleared cvi42 with AI-enabled plaque...
CALGARY, Alberta -- Circle...
01/21/2026
Cath Lab Digest
Acquisitions
01/21/2026
Vivasure's PerQseal® Elite system uses a proprietary bioabsorbable patch to seal large-bore (up to 26 F) arteriotomies and venotomies from inside the vessel, offering a sutureless, fully absorbable solution for structural heart and...
Vivasure's PerQseal® Elite system uses a proprietary bioabsorbable patch to seal large-bore (up to 26 F) arteriotomies and venotomies from inside the vessel, offering a sutureless, fully absorbable solution for structural heart and...
Vivasure's PerQseal® Elite...
01/21/2026
Cath Lab Digest
Early CAD Detection
01/21/2026
In the “Mammography and Breast Arterial Calcification Trial at Mount Sinai,” doctors are sending letters to patients with high breast artery calcification levels, urging them to see a cardiologist or other doctor for further evaluation to...
In the “Mammography and Breast Arterial Calcification Trial at Mount Sinai,” doctors are sending letters to patients with high breast artery calcification levels, urging them to see a cardiologist or other doctor for further evaluation to...
In the “Mammography and Breast...
01/21/2026
Cath Lab Digest
Radiation Protection Systems
01/21/2026
Final results of NOVARAD clinical study show that use of Nova-X® full-body, team-wide radiation protection system reduces dose received by main operator in interventional neuroradiology by a factor of eleven.
Final results of NOVARAD clinical study show that use of Nova-X® full-body, team-wide radiation protection system reduces dose received by main operator in interventional neuroradiology by a factor of eleven.
Final results of NOVARAD...
01/21/2026
Cath Lab Digest
Technology & Health Literacy
01/21/2026
ECRI experts say that chatbots have suggested incorrect diagnoses, recommended unnecessary testing, promoted subpar medical supplies, and even invented body parts in response to medical questions while sounding like a trusted expert.
ECRI experts say that chatbots have suggested incorrect diagnoses, recommended unnecessary testing, promoted subpar medical supplies, and even invented body parts in response to medical questions while sounding like a trusted expert.
ECRI experts say that chatbots...
01/21/2026
Cath Lab Digest
CAD Risk Factors
01/19/2026
The paper, “Police-Related Stress and Carotid Intima-Media Thickness Among African American Women,” is published in the journal Biopsychosocial Science and Medicine.
The paper, “Police-Related Stress and Carotid Intima-Media Thickness Among African American Women,” is published in the journal Biopsychosocial Science and Medicine.
The paper, “Police-Related...
01/19/2026
Cath Lab Digest
Acquisitions
01/15/2026
MARLBOROUGH, Mass. and ALAMEDA, Calif. -- Boston Scientific Corporation and Penumbra, Inc., today announced the companies have entered into a definitive agreement under which Boston Scientific will acquire Penumbra in a cash and stock...
MARLBOROUGH, Mass. and ALAMEDA, Calif. -- Boston Scientific Corporation and Penumbra, Inc., today announced the companies have entered into a definitive agreement under which Boston Scientific will acquire Penumbra in a cash and stock...
MARLBOROUGH, Mass. and ALAMEDA,...
01/15/2026
Cath Lab Digest
Radiation Safety
01/08/2026
First-of-its-Kind, Multi-Specialty Clinical Initiative Across IC, EP, Endovascular, Aortic, and Neurovascular BIRMINGHAM, Ala. — January 8, 2025 — Rampart, a Birmingham, Alabama–based medical device company redefining interventional...
First-of-its-Kind, Multi-Specialty Clinical Initiative Across IC, EP, Endovascular, Aortic, and Neurovascular BIRMINGHAM, Ala. — January 8, 2025 — Rampart, a Birmingham, Alabama–based medical device company redefining interventional...
First-of-its-Kind,...
01/08/2026
Vascular Disease Management
Mitral Valve Intervention
01/05/2026
The SAPIEN M3 transcatheter mitral valve replacement (TMVR) system is indicated for the treatment of symptomatic moderate-to-severe or severe MR in patients who are deemed unsuitable for surgery or transcatheter edge-to-edge repair (TEER)...
The SAPIEN M3 transcatheter mitral valve replacement (TMVR) system is indicated for the treatment of symptomatic moderate-to-severe or severe MR in patients who are deemed unsuitable for surgery or transcatheter edge-to-edge repair (TEER)...
The SAPIEN M3 transcatheter...
01/05/2026
Cath Lab Digest