Case Studies in Addressing Jones Fractures in Athletes
-
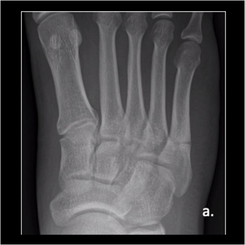
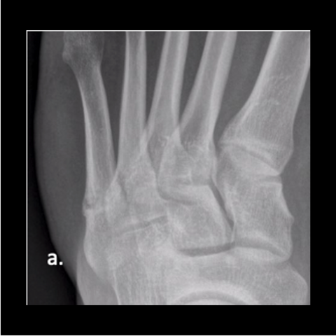
Figure 1a
Figure 1a. A 23-year-old male trainee twisted his foot while running, presenting a week or 2 later. Here is an injury film.
-
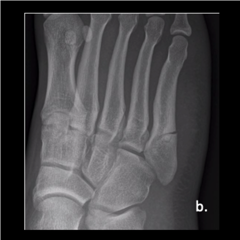
Figure 1b
Figure 1b. A 23-year-old male trainee twisted his foot while running, presenting a week or 2 later. Here is an injury film.
-
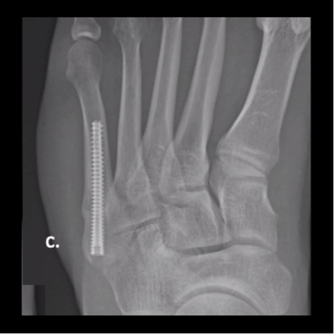
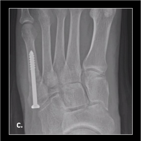
Figure 1c
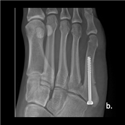
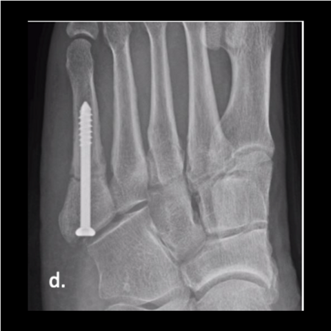
Figure 1c. We fixed his fracture with an intramedullary, fully-threaded, cannulated 4.5mm screw. He returned to training at 3 months. As shown here, the fracture looked healed at 6 weeks postop. Despite the patient having no pain, I must caution surgeons to not allow running or sports until the plantar cortex is solid because of the risk for refracture.
-
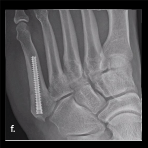
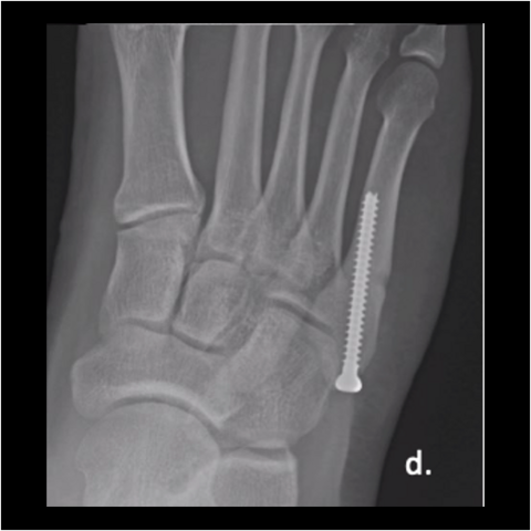
Figure 1d
Figure 1d. We fixed his fracture with an intramedullary, fully-threaded, cannulated 4.5mm screw. He returned to training at 3 months. As shown here, the fracture looked healed at 6 weeks postop.
-
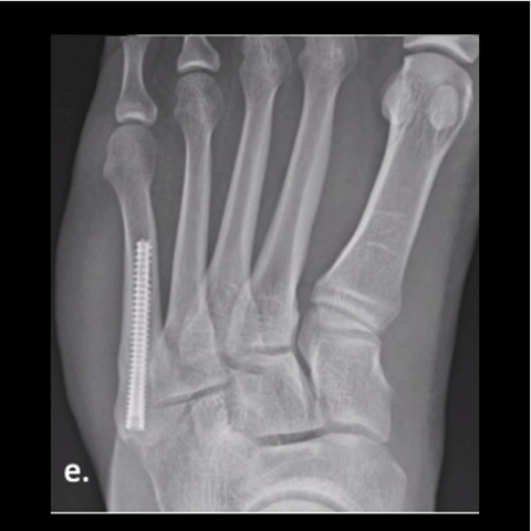
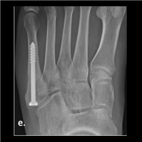
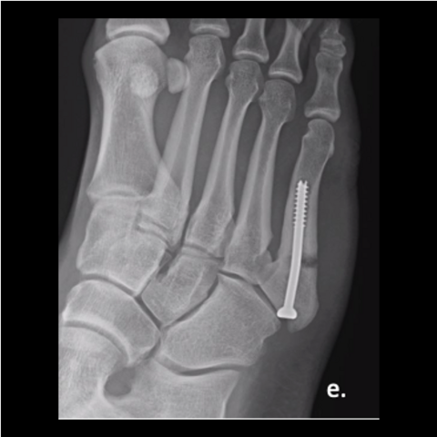
Figure 1e
Figure 1e. We fixed his fracture with an intramedullary, fully-threaded, cannulated 4.5mm screw. He returned to training at 3 months. As shown here, the fracture looked healed at 6 weeks postop.
-
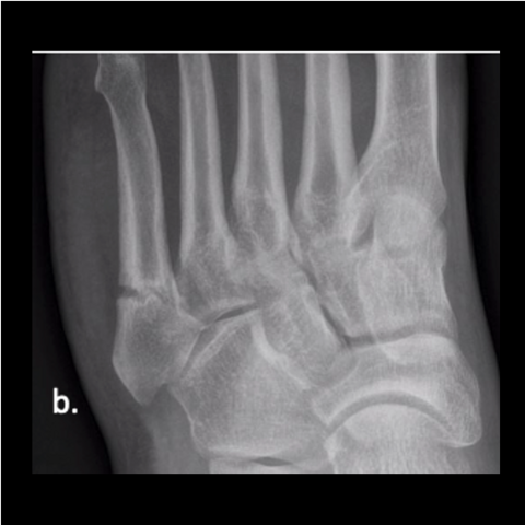
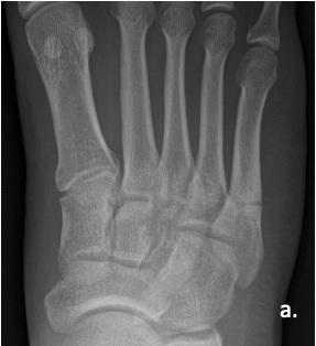
Figure 2a
Figure 2a. A 30-year-old male soldier was injured playing basketball, as shown in this film taken upon injury. We fixated his fracture with a solid screw system. He returned to full duty in 4 months and was pain-free in days after his surgery.
-
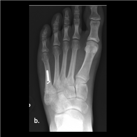
Figure 2b
Figure 2b. A 30-year-old male soldier was injured playing basketball, as shown in this film taken upon injury. We fixated his fracture with a solid screw system. He returned to full duty in 4 months and was pain-free in days after his surgery.
-
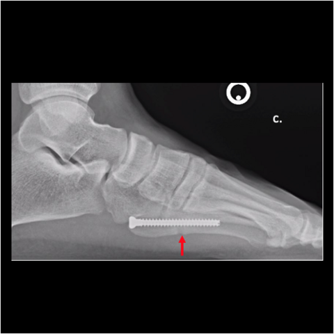
Figure 2c
Figure 2c. Here is the 30-year-old soldier’s foot 6 weeks post-injury.
-
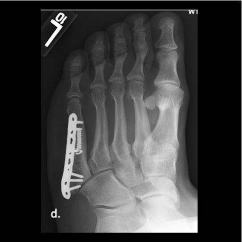
Figure 2d
Figure 2d. Here is the 30-year-old soldier’s foot 6 weeks post-injury.
-
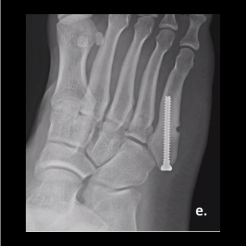
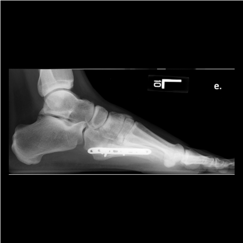
Figure 2e
Figure 2e. Here is the 30-year-old soldier’s foot 3 months post-injury.
-
Figure 2f
Figure 2f. Here is the 30-year-old soldier’s foot 3 months post-injury.
-
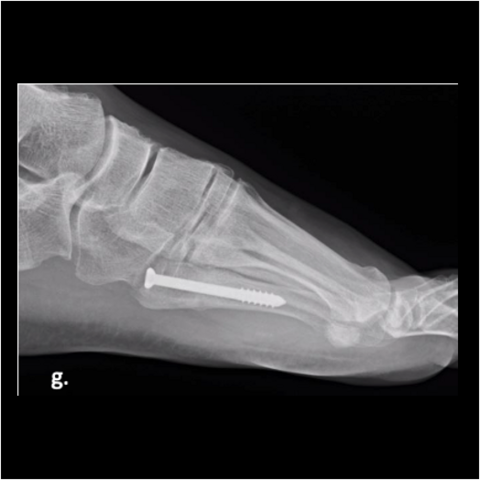
Figure 2g
Figure 2g. Here is the 30-year-old soldier’s foot 3 months post-injury.
-
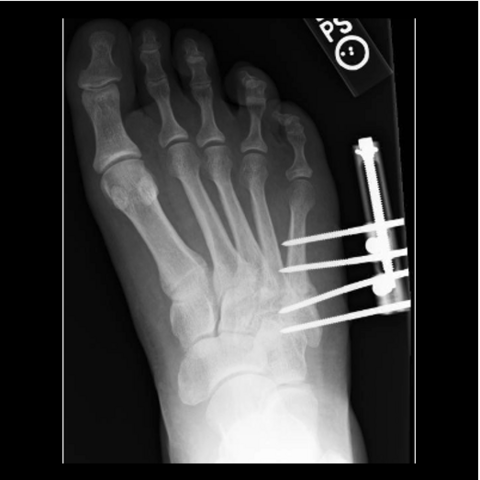
Figure 3a
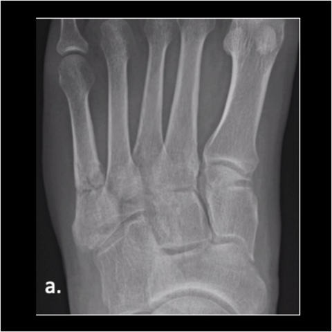
Figure 3a. A 28-year-old Army officer injured during combatives was able to walk 2 days post-surgery. He started wearing his Army boots 2 weeks after surgery and completed Sapper School 10 weeks after surgery. He then went to Special Forces training within 6 months postop. The patient never had any pain after surgery. Here is the foot when the patient got injured.
-
Figure 3b
Figure 3b. A 28-year-old Army officer injured during combatives was able to walk 2 days post-surgery. He started wearing his Army boots 2 weeks after surgery and completed Sapper School 10 weeks after surgery. He then went to Special Forces training within 6 months postop. The patient never had any pain after surgery. Here is the foot when the patient got injured.
-
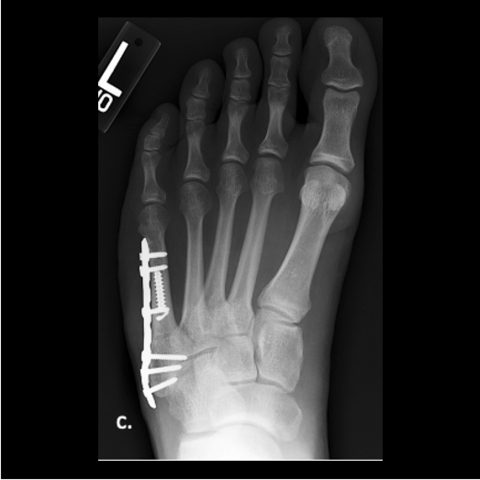
Figure 3c
Figure 3c. Here is the 28-year-old’s foot at 6 weeks.
-
Figure 3d
Figure 3d. Here is the 28-year-old’s foot at 6 weeks.
-
Figure 3e
Figure 3e. Here is the 28-year-old’s foot at 3 months.
-
Figure 3f
Figure 3f. Here is the 28-year-old’s foot at 3 months.
-
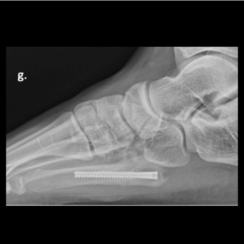
Figure 3g
Figure 3g. Here is the 28-year-old’s foot at 3 months.
-
Figure 4a
Figure 4a. A 24-year-old male soldier refractured 1 year after his original surgery. He had returned to Airborne status with at least 15 jumps since his original surgery, with no issues running. Here is the 24-year-old soldier’s foot 6 months post-surgery.
-
Figure 4b
Figure 4b. Here is the 24-year-old soldier’s foot 6 months post-surgery.
-
Figure 4c
Figure 4c. Here is the 24-year-old soldier’s foot 6 months post-surgery.
-
Figure 4d
Figure 4d. The 24-year-old soldier jumped off the back of a truck, refracturing his metatarsal. Here is the foot a year post-surgery after jumping off the truck.
-
Figure 4e
Figure 4e. The 24-year-old soldier jumped off the back of a truck, refracturing his metatarsal. Here is the foot a year post-surgery after jumping off the truck.
-
Figure 4f
Figure 4f. The 24-year-old soldier jumped off the back of a truck, refracturing his metatarsal. Here is the foot a year post-surgery after jumping off the truck.
-
Figure 5a
Figure 5a. The 24-year-old required hardware removal and application of external fixation for gradual compression. Most cases heal within 6 weeks with gradual compression weekly.
-
Figure 5b
Figure 5b. The 24-year-old required hardware removal and application of external fixation for gradual compression. Most cases heal within 6 weeks with gradual compression weekly.
-
Figure 5c
Figure 5c. The 24-year-old required hardware removal and application of external fixation for gradual compression. Most cases heal within 6 weeks with gradual compression weekly.
-
Figure 5d
Figure 5d. The 24-year-old required hardware removal and application of external fixation for gradual compression. Most cases heal within 6 weeks with gradual compression weekly.
-
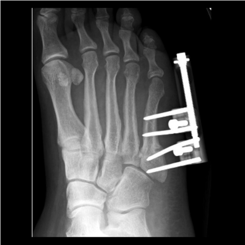
Figure 6a
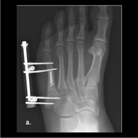
Figure 6a. A 26-year-old male soldier underwent intra-medullary screw fixation and during the surgery, his bone was so dense that the screw broke once engaged in the canal. An external fixator became the backup with gradual compression over 6 weeks. After fixator removal, the patient decided to go jogging before he was cleared and refractured. Since screw fixation was not an option, the patient refused to repeat external fixation and plate fixation was utilized. The soldier took 6 months to resume full duty and within a year required the plate to be removed. Here one can see a broken screw during surgery, ex-fix applied in surgery having to work around the broken screw.
-
Figure 6b
Figure 6b. Here is the foot 8 weeks post-surgery after removing ex fix and went running before being cleared leading to re-fracture. Re-injury films not shown.
-
Figure 6c
Figure 6c. Plating of the fracture since screw fixation was not possible, and the patient refused external fixation for a second time.
-
Figure 6d
Figure 6d. Plating of the fracture since screw fixation was not possible, and the patient refused external fixation for a second time.
-
Figure 6e
Figure 6e. Plating of the fracture since screw fixation was not possible, and the patient refused external fixation for a second time.
Click here to read a related Sports Medicine column.


