Successful Sealing of a Coronary Artery Perforation with a Mesh-Covered Stent
ABSTRACT: Coronary artery perforation is a rare, but particularly feared and sometimes life-threatening, complication of percutaneous coronary interventions. The incidence of coronary perforation has increased with newer, more invasive interventional devices and techniques like rotablation, excimer laser coronary angioplasty, routine high-pressure balloon dilatation, or chronic total occlusion interventions. Here we describe a case of Ellis grade 2 perforation following a balloon dilatation performed in an in-stent restenotic total occlusion. The perforation was successfully sealed with a recently introduced device, a mesh covered stent (MGuard stent, Inspire MD). This new stent is much more flexible than the polytetrafluoroethylene-covered stent, which is often implanted in Ellis 2 or 3 grade perforations.
J INVASIVE CARDIOL 2012;24(4):E80-E83
Key words: coronary angioplasty, complication, perforation
______________________________________________
Coronary artery perforation occurs relatively rarely during percutaneous transluminal coronary angioplasty; the incidence varies from 0.2% to 0.6%.1-4 Before the end of the 1990s, it had frequently been accompanied with major adverse outcomes,3,5,6 such as cardiac tamponade (17%), myocardial infarction (26%), or death (9%).5,6 The incidence and the severity of perforations are reported to increase with the use of debulking devices,7,8 and with the newer techniques of chronic total occlusion interventions. Ellis et al classified coronary perforations into 3 groups, with the classification showing correlations with the clinical outcome in the published retrospective analyses.3,4,9 Before the introduction of stent grafts, 40%-45% of Ellis grade 3 perforation cases developed cardiac tamponade, 60% required emergency coronary artery bypass grafting (CABG),3,8 and in 44%-50% of the cases the patient died during index hospitalization.4,8 Appearance of the treatment with covered stents reduced the need for urgent surgical intervention.4,6
We describe a case of Ellis grade 2 perforation following a balloon dilatation performed in an in-stent restenotic distal right coronary artery occlusive lesion. A recently introduced mesh-covered stent (MGuard stent, Inspire MD) successfully sealed the perforation. It is a combination of a bare-metal stent and an embolic protection device. This stent is wrapped in a flexible ultrathin polymer mesh sleeve on its external surface. The mesh is composed of micron-level fibers; it was designed to block plaque and thrombus detachment from the arterial wall.10 The MGuard stent is used in several PCI centers during coronary interventions performed in a thrombotic environment.11-15
Case Report
A 68-year-old Caucasian female ex-smoker presented with hypertension, hypercholesterolemia, and long-standing bronchitis. She underwent primary mid-right coronary artery (mid RCA) PCI with the implantation of a 3 mm x 30 mm PRO-Kinetic stent (Biotronik AG) for inferior ST-elevation myocardial infarction (STEMI) in June 2008. Repeated RCA PCI was performed in October 2008 with balloon dilatation for diffuse in-stent restenosis and with the implantation of a 3.5 mm x 23 mm Multi-link Vision stent (Abbott Vascular) into
the distal segment for a progressive de novo lesion. Moreover, a 3.5 mm x 16 mm Coroflex Blue stent (B. Braun) was also deployed into a proximal de novo lesion. In February 2009 repeated PCI was performed again with the use of drug-eluting stents for diffuse in-stent restenosis: in the proximal segment a 3.5 mm x 24 mm biolimus A9-eluting stent (Nobori, Terumo Corporation); in the mid and distal segment 2 zotarolimus-eluting stents (3.5 x 30 mm and 3.5 x 15 mm Endeavor stents (Medtronic Medical)
were implanted. In January 2010 she was admitted to our hospital for recurrent angina. Her laboratory results were within the normal limits. Serum LDL cholesterol was lowered to 1.43 mmol/L (55.2 mg/dL) with rosuvastatin. Physical examination revealed a patient without any remarkable findings. A 12-lead electrocardiogram showed no ischemic signs. Baseline echocardiography established: the left ventricle diastolic diameter was 50 mm, mild left ventricular hypertrophy, ejection fraction 75%, inferior mid segment was hypokinetic, and the valves were functioning well.
The coronary angiogram showed the left coronary system free of significant disease. However in the RCA a long total occlusion was seen in the Endeavor stents (Medtronic) implanted in the distal portion. Contrarily, in the proximally implanted Nobori stent, no restenosis was revealed. Furthermore, an intermediate de novo stenosis was also demonstrated in the mid RCA segment (Figure 1).
The RCA total occlusion was easily crossed with a hydrophilic PT Graphix Intermediate guidewire (Boston Scientific). With the use of a 2.5 mm x 20 mm Sprinter Legend (semicompliant) balloon (Medtronic), predilatation was performed in the distal segment at 19 atm. After restoration of the TIMI III flow in the whole vessel, an Ellis grade 2 perforation appeared in the posterior atrioventricular area (Figure 2). The exact site of the perforation was not evident because an overt contrast agent was not detected. Nevertheless it was
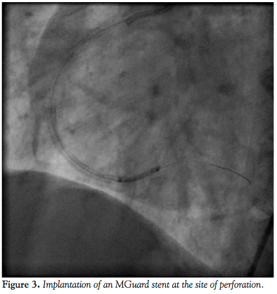
reasonable to assume that the perforation occurred near the distal stent edge as a consequence of the high-pressure predilatation. To seal the perforation, the above-mentioned net wrapped stent, a 2.5 mm x 15 mm MGuard was introduced in the territory of crux cordis. The stent was positioned to cover the distal edge of the previously implanted Endeavor stent and the perforated posterolateral branch as well, and then it was deployed at nominal pressure (Figure 3). The overlapping part of the stent was postdilated with the aid of the stent balloon at 17 atm. The implantation of the MGuard stent resulted in successful sealing of the perforation and the contrast agent extravasation was abolished. The original restenotic lesion and the de novo mid segment lesion were managed by deploying 2 Xience Prime LL 3 mm x 33 mm stents (Abbott Vascular) at 20 atm (Figures 4 and 5). No signs of hemodynamic instability appeared. After the intervention, echocardiogram revealed only 6-7 mm pericardial fluid localized at the left ventricular posterior wall. There were no significant ECG changes and the maximum CPK level was 260 U/L (upper limit of normal is 170 U/l). The patient remained stable during the following hospital stay. She was discharged on a daily dose of aspirin 300 mg and clopidogrel 150 mg. At 6-month follow-up neither angina pectoris, nor sign of coronary ischemia were revealed.
Discussion
Coronary artery perforation is an infrequent, but dreaded complication, which occurs in 0.2%-0.6 % of cases during PCI.1-4 It may be accompanied with adverse clinical outcomes, such as cardiac tamponade, myocardial infarction, need for emergency CABG or death. There are several factors that have been confirmed to predispose to coronary perforation, such as excessive vessel tortuosity, severe calcification, small vessel diameter, CTO, previous CABG, high pressure balloon dilatation, or the use of an oversized balloon.4,9 Shimony et al also found that right coronary artery interventions were more prone to be complicated by perforation.4 Stiffer hydrophilic wires can also cause Ellis grade 1 or 2 perforations, but generally wire-related perforations are end artery perforations and take a benign course,4,9 rarely requiring special intervention (eg, coil embolization, thrombin injection). Until the end of the 1990s, the treatment of the perforation had been the prolonged balloon inflation at the site of the extravasation and the reversal of the effect of heparin with protamin.3 The administration of protamin was reported safe and not to predispose to stent thrombosis, but after a complex PCI safety of the reversal of heparin remained unclear.16 Deployment of a conventional stent at the site of perforation may be effective, but it can rarely make the outcome even worse by expanding the perforation.9,16 In the case of grade 3 perforation the above mentioned classical non-surgical management often fails. The surgical management includes urgent repair or ligation, and grafting of the related artery, as well as pericardial drainage. However, this intervention has an overall mortality rate up to 20%.16
At the end of the 1990s the covered stent graft appeared as a new method for treating perforations.17 In the beginning, autologous veins were surgically harvested, prepared, and mounted on a conventional stent to cover it,18 but this approach is logistically impossible in an emergency situation. In contrast, the implantation of the later developed polytetrafluoroethylene (PTFE)-covered stent graft is much easier and faster, and does not require special skills. A PTFE-covered stent consists of 2 conventional stents and a thin PTFE membrane in between. Briguori et al reported lower rates of tamponade and need for emergent surgical intervention in patients at whom conventional prolonged balloon inflation therapy failed and who were treated with a PTFE stent. This study compared the findings with a historical cohort before the availability of covered stents.6
However, PTFE-covered stents have notable drawbacks. In various clinical settings these stents showed a subacute stent thrombosis rate of 5.7%, which is higher than that of normal stents. The angiographic restenosis rate is also relatively high (32%), mainly localized at the stent edge.19 As indicated by angioscopic and optical coherence tomography observations the endothelialization of these stents is delayed and similarly to drug-eluting stents, restenotic lesions may also contain thrombus.20 Enough data is not yet available to determine the long-term thrombosis and restenosis rate after PTFE-covered stent implantation. Therefore there is no consensus on the duration of antiplatelet and anticoagulant therapies after PTFE-covered stent implantation. In certain cases of perforation the lesion cannot be managed with such a stent. As a consequence of the double-stent structure they are more rigid than normal stents, so even mild tortuosity may hamper the positioning of the PTFE-covered stent.6
For the above mentioned problems, the treatment of the coronary perforation needs to be further improved. The MGuard stent, which received CE Mark approval for the treatment of coronary stenosis in November 2007, is a bare metal stent covered by an ultrathin polymer (polyethylene terephthalate) mesh sleeve on its external surface. The protective net is composed of micron-level fibers with pore size of ≤200 micrometer. It was developed to block the plaque and thrombus detachment from the arterial wall during and after the intervention to reduce embolization. The MGuard stent is a combination of a bare metal stent and an embolic protection device, which may represent a feasible and safe treatment option in STEMI patients and saphenous vein graft intervention.11,12 So far only a small amount of clinical data has been published concerning this stent.10-15 Based on the previously published preliminary experiences, more than 100 MGuard stents have been implanted in our institution since the beginning of 2009 during STEMI interventions.14
In the presented case of coronary perforation the routinely used PTFE-covered stent, the JoStent Graftmaster stent (Abbott Vascular), was not a treatment option. The reference vessel diameter at the site of perforation was much smaller than the smallest available JoStent Graftmaster stent graft (3 mm). The rigidity of the stent graft could make the positioning very difficult even in vessels of moderate tortuosity. The presented case of distal RCA perforation was considered unsuitable for a PTFE-covered stent. This Ellis grade 2 coronary perforation was successfully sealed with the MGuard stent. The wrapping net of the MGuard stent is designed to diffuse stent pressure on the vessel wall, so in the site of the perforation the net compresses homogeneously on the ruptured layers. With the above mentioned features, the MGuard stent can play a role in the treatment of coronary perforation. In 2009 Cirillo et al published a case of saphenous vein graft perforation successfully sealed with the MGuard stent.21 Nevertheless MGuard is not yet approved for sealing perforations because of the paucity of the published data concerning its application in lesions with such complications. However, before the widespread adoption, it can be a treatment option in coronary perforation especially in the cases considered unsuitable for PTFE-covered stent implantation.
References
- Lansky AJ, Yang YM, Khan Y, et al. Treatment of coronary artery perforations complicating percutaneous coronary intervention with a polytetrafluoroethylene-covered stent graft. Am J Cardiol. 2006;98(3):370-374.
- Shirakabe A, Takano H, Nakamura S, et al. Coronary perforation during percutaneous coronary intervention. Int Heart J. 2007;48(1):1-9.
- Ellis SG, Ajluni S, Arnold AZ, et al. Increased coronary perforation in the new device era. Incidence, classification, management, and outcome. Circulation. 1994;90(6):2725-2730.
- Shimony A, Zahger D, Van Straten M, et al. Incidence, risk factors, management and outcomes of coronary artery perforation during percutaneous coronary intervention. Am J Cardiol. 2009;104(12):1674-1677.
- Ajluni SC, Glazier S, Blankenship L, O'Neill WW, Safian RD. Perforations after percutaneous coronary interventions: clinical, angiographic, and therapeutic observations. Cathet Cardiovasc Diagn. 1994;32(3):206-212.
- Briguori C, Nishida T, Anzuini A, Di Mario C, Grube E, Colombo A. Emergency polytetrafluoroethylene-covered stent implantation to treat coronary ruptures. Circulation. 2000;102(25):3028-3031.
- Pienvichit P, Waters J. Successful closure of coronary artery perforation using makeshift stent sandwich. Catheter Cardiovasc Interv. 2001;54(2):209-213.
- Subraya RG, Tannenbaum AK. Successful sealing of perforation of saphenous vein graft by coronary stent. Catheter Cardiovasc Interv. 2000;50(4):460-462.
- Javaid A, Buch AN, Satler LF, et al. Management and outcomes of coronary artery perforation during percutaneous coronary intervention. Am J Cardiol. 2006;98(7):911-914.
- Kaluski E, Hauptmann KE, Müller R, Tsai S, Klapholz M, Grube E. Coronary stenting with MGuard: first-in-man trial. J Invasive Cardiol. 2008;20(10):511-515.
- Piscione F, Danzi GB, Cassese S, et al. Multicentre experience with MGuard net protective stent in ST-elevation myocardial infarction: safety, feasibility, and impact on myocardial reperfusion. Catheter Cardiovasc Interv. 2010;75(5): 715-721.
- Vaknin-Assa H, Assali A, Kornowski R. Preliminary experiences using the MGuard stent platform in saphenous vein graft lesions. Catheter Cardiovasc Interv. 2009;74(7):1055-1057.
- Maia F, Costa JR Jr, Abizaid A, et al. Preliminary results of the INSPIRE trial with the novel MGuard stent system containing a protection net to prevent distal embolization. Catheter Cardiovasc Interv. 2010;76(1):86-92.
- Apro D. TCT-465: Six-months Clinical and Angiographic Results Of MGuard Net Protective Stent in Primary PCI. J Am Coll Cardiol. 2010;56:B107.
- Dudek D, Dziewierz A, Rzeszutko L, et al. Mesh covered stent in ST-segment elevation myocardial infarction. EuroIntervention. 2010;6(5):582-589.
- Salwan R, Mathur A, Jhamb DK, Seth A. Deep intubation of 8 Fr guiding catheter to deliver coronary stent graft to seal coronary perforation: a case report. Catheter Cardiovasc Interv. 2001;54(1):59-62.
- Ramsdale DR, Mushahwar SS, Morris JL. Repair of coronary artery perforation after rotastenting by implantation of the JoStent covered stent. Cathet Cardiovasc Diagn. 1998;45(3):310-313.
- Chae JK, Park SW, Kim YH, et al. Successful treatment of coronary artery perforation during angioplasty using autologus vein graft-coated stent. Eur Heart J. 1997;18(6):1030-1032.
- Gercken U, Lansky AJ, Buellesfeld L, et al. Results of the JoStent coronary stent graft implantation in various clinical settings: procedural and follow-up results. Catheter Cardiovasc Interv. 2002;56(3):353-360.
- Takano M, Yamamoto M, Inami S, et al. Delayed endothelialization after polytetrafluoroethylene-covered stent implantation for coronary aneurysm. Circ J. 2009;73(1):190-193.
- Cirillo P, De Rosa S, D’Ascoli G, et al. Perforation of a saphenous vein graft during percutaneous angioplasty treated with the MGuard coronary stent system. EuroIntervention. 2009;5(1);published online.
______________________________________________
From the 1st Department of Cardiology, State Hospital for Cardiology, Balatonfüred, Hungary.
Disclosure: The authors have completed and returned the ICMJE Form for Disclosure of Potential Conflicts of Interest. The authors report no conflicts of interest regarding the content herein.
Manuscript submitted September 6, 2011, provisional acceptance given September 12, 2011, final version accepted November 22, 2011.
Address for correspondence: Dr. György Fogarassy, Állami Szívkórház, I. sz. Kardiológiai Osztály, 8230 Balatonfüred, Gyógy tér 2, Hungary. Email: gyorgy.fogarassy@chello.hu


