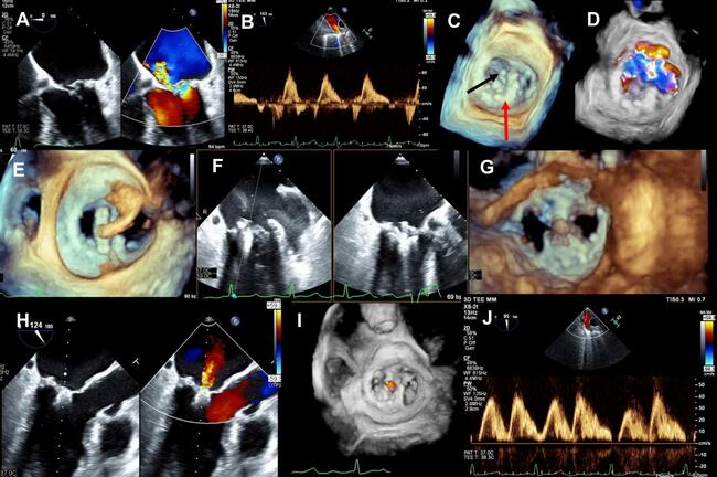
Mitral Transcatheter-Edge‐to‐Edge Repair in Failed Mitral Valve Repair
Video 1. Two-dimensional transesophageal echocardiogram demonstrating flail posterior leaflet with severe mitral regurgitation.
Video 2. Three-dimensional view of the mitral valve demonstrating annuloplasty ring with flail segment.
Video 4. Three-dimensional view of the mitral valve demonstrating the advancing of the clip through the annuloplasty ring.
Video 6. Three-dimensional view of the mitral valve (ventricular aspect) demonstrating tissue grasp.
Video Supplement to "Mitral Transcatheter-Edge‐to‐Edge Repair in Failed Mitral Valve Repair" (Clinical Image).
© 2025 HMP Global. All Rights Reserved.
Any views and opinions expressed are those of the author(s) and/or participants and do not necessarily reflect the views, policy, or position of the Journal of Invasive Cardiology or HMP Global, their employees, and affiliates.


