Video file
Videos
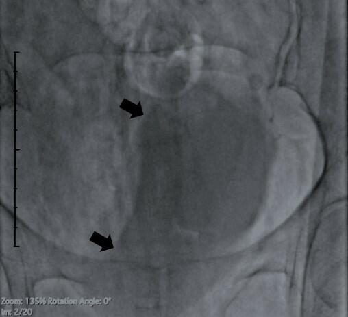
Bladder Indentation Sign: A Stitch in Time Can Save Nine
Sourabh Agstam, MD, DM; Vibhav Sharma, MD, DM; Souvik Sardar, MBBS, MD; Ambuj Roy, MD, DM
11/13/2023
Video file
Video Supplement to "Bladder Indentation Sign: A Stitch in Time Can Save Nine" (November 2023 Clinical Image).
© 2023 HMP Global. All Rights Reserved.
Any views and opinions expressed are those of the author(s) and/or participants and do not necessarily reflect the views, policy, or position of the Journal of Invasive Cardiology or HMP Global, their employees, and affiliates.


