Clinical Videos
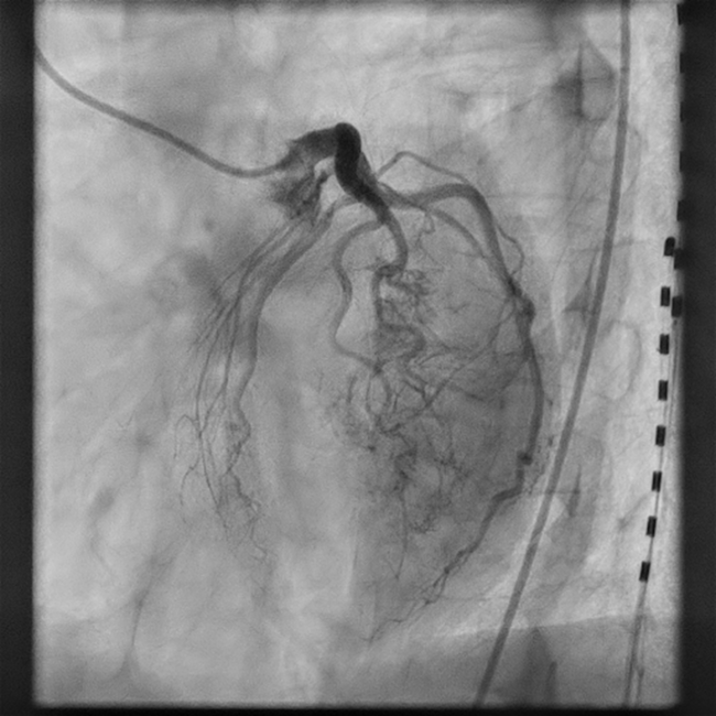
Thebesian Veins Causing Severe Myocardial Ischemia Due to Coronary Steal
10/17/2025
Video Supplement to "Thebesian Veins Causing Severe Myocardial Ischemia Due to Coronary Steal" (Clinical Image).
Video 2. Stress-induced severe hypokinesis in the left anterior descending coronary artery territory.
© 2025 HMP Global. All Rights Reserved.
Any views and opinions expressed are those of the author(s) and/or participants and do not necessarily reflect the views, policy, or position of the Journal of Invasive Cardiology or HMP Global, their employees, and affiliates.


